Antibody data
- Antibody Data
- Antigen structure
- References [0]
- Comments [0]
- Validations
- Western blot [1]
- Immunohistochemistry [1]
Submit
Validation data
Reference
Comment
Report error
- Product number
- NBP1-58247 - Provider product page

- Provider
- Novus Biologicals
- Proper citation
- Novus Cat#NBP1-58247, RRID:AB_11033985
- Product name
- Rabbit Polyclonal Kinesin C2 Antibody
- Antibody type
- Polyclonal
- Description
- Protein A purified.
- Reactivity
- Human
- Host
- Rabbit
- Isotype
- IgG
- Vial size
- 100ul
- Storage
- Store at -20C. Avoid freeze-thaw cycles.
No comments: Submit comment
Supportive validation
- Submitted by
- Novus Biologicals (provider)
- Main image

- Experimental details
- Western Blot: Kinesin C2 Antibody [NBP1-58247] - Titration: 1.25ug/ml Positive Control: Jurkat cell lysate.
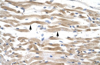
Supportive validation
- Submitted by
- Novus Biologicals (provider)
- Main image

- Experimental details
- Immunohistochemistry-Paraffin: Kinesin C2 Antibody [NBP1-58247] - Human Muscle Tissue, Skeletal muscle cells (Indicated with Arrows) 4-8ug/ml.