Antibody data
- Antibody Data
- Antigen structure
- References [0]
- Comments [0]
- Validations
- Western blot [1]
- Immunohistochemistry [3]
Submit
Validation data
Reference
Comment
Report error
- Product number
- PA5-32165 - Provider product page

- Provider
- Invitrogen Antibodies
- Product name
- KIFC2 Polyclonal Antibody
- Antibody type
- Polyclonal
- Antigen
- Recombinant full-length protein
- Description
- Recommended positive controls: K562, THP-1. Predicted reactivity: Mouse (85%), Rat (84%), Bovine (87%). Store product as a concentrated solution. Centrifuge briefly prior to opening the vial.
- Reactivity
- Human, Mouse, Rat
- Host
- Rabbit
- Isotype
- IgG
- Vial size
- 100 μL
- Concentration
- 1 mg/mL
- Storage
- Store at 4°C short term. For long term storage, store at -20°C, avoiding freeze/thaw cycles.
No comments: Submit comment
Supportive validation
- Submitted by
- Invitrogen Antibodies (provider)
- Main image

- Experimental details
- Western Blot using KIFC2 Polyclonal Antibody (Product # PA5-32165). Sample (30 µg of whole cell lysate). Lane A: K562. Lane B: THP-1 . 5% SDS PAGE. KIFC2 Polyclonal Antibody (Product # PA5-32165) diluted at 1:2,000.
Supportive validation
- Submitted by
- Invitrogen Antibodies (provider)
- Main image

- Experimental details
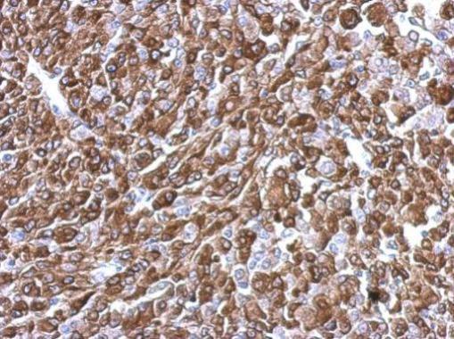
- Immunohistochemical analysis of paraffin-embedded Hela xenograft, using KIFC2 (Product # PA5-32165) antibody at 1:500 dilution. Antigen Retrieval: EDTA based buffer, pH 8.0, 15 min.
- Submitted by
- Invitrogen Antibodies (provider)
- Main image

- Experimental details
- KIFC2 Polyclonal Antibody detects KIFC2 protein at cytoplasm in mouse brain by immunohistochemical analysis. Sample: Paraffin-embedded mouse brain. KIFC2 Polyclonal Antibody (Product # PA5-32165) diluted at 1:500. Antigen Retrieval: Citrate buffer, pH 6.0, 15 min.
- Submitted by
- Invitrogen Antibodies (provider)
- Main image

- Experimental details
- KIFC2 Polyclonal Antibody detects KIFC2 protein at cytoplasm in mouse brain by immunohistochemical analysis. Sample: Paraffin-embedded mouse brain. KIFC2 Polyclonal Antibody (Product # PA5-32165) diluted at 1:500. Antigen Retrieval: Citrate buffer, pH 6.0, 15 min.