Antibody data
- Antibody Data
- Antigen structure
- References [0]
- Comments [0]
- Validations
- Western blot [1]
- Immunohistochemistry [4]
Submit
Validation data
Reference
Comment
Report error
- Product number
- ABIN2484445 - Provider product page

- Provider
- antibodies-online
- Product name
- anti-Solute Carrier Family 5 (Sodium/iodide Cotransporter), Member 5 (SLC5A5) (AA 468-643) antibody (PE)
- Antibody type
- Monoclonal
- Description
- Protein G Purified
- Reactivity
- Human, Mouse, Rat
- Host
- Mouse
- Conjugate
- Yellow dye
- Epitope
- AA 468-643
- Isotype
- IgG
- Antibody clone number
- 14F
- Vial size
- 100 μg
- Storage
- -20°C
No comments: Submit comment
Supportive validation
- Submitted by
- antibodies-online (provider)
- Main image

- Experimental details
- WB
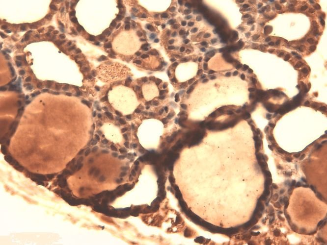
Supportive validation
- Submitted by
- antibodies-online (provider)
- Main image

- Experimental details
- IHC
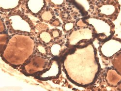
- Submitted by
- antibodies-online (provider)
- Main image

- Experimental details
- IHC
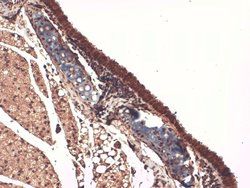
- Submitted by
- antibodies-online (provider)
- Main image

- Experimental details
- IHC
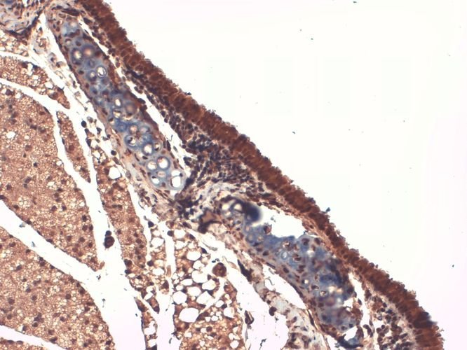
- Submitted by
- antibodies-online (provider)
- Main image

- Experimental details
- IHC