Antibody data
- Antibody Data
- Antigen structure
- References [0]
- Comments [0]
- Validations
- Western blot [1]
- Immunohistochemistry [3]
Submit
Validation data
Reference
Comment
Report error
- Product number
- LS-C30699 - Provider product page

- Provider
- LSBio
- Proper citation
- LifeSpan Cat#LS-C30699, RRID:AB_2250813
- Product name
- MORF4L2 / MRGX Antibody (aa67-116) LS-C30699
- Antibody type
- Polyclonal
- Description
- Protein A purified
- Reactivity
- Human
- Host
- Rabbit
- Isotype
- IgG
- Storage
- Short term: Store at 2-8°C. Long term: Aliquot and store at -20°C. Avoid freeze/thaw cycles.
No comments: Submit comment
Enhanced validation
- Submitted by
- LSBio (provider)
- Enhanced method
- Genetic validation
- Main image

- Experimental details
- Fetal Brain Lysate. This image was taken for the unconjugated form of this product. Other forms have not been tested.
Enhanced validation
- Submitted by
- LSBio (provider)
- Enhanced method
- Genetic validation
- Main image

- Experimental details
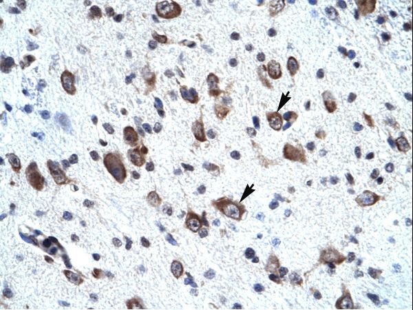
- MORF4L2 antibody ARP33721_T100-NP_036418-MORF4L2 (mortality factor 4 like 2) Antibody was used in IHC to stain formalin-fixed, paraffin-embedded human brain. This image was taken for the unconjugated form of this product. Other forms have not been tested.
- Submitted by
- LSBio (provider)
- Enhanced method
- Genetic validation
- Main image

- Experimental details
- MORF4L2 antibody ARP33721_T100-NP_036418-MORF4L2 (mortality factor 4 like 2) Antibody was used in IHC to stain formalin-fixed, paraffin-embedded human brain. This image was taken for the unconjugated form of this product. Other forms have not been tested.
- Submitted by
- LSBio (provider)
- Main image

- Experimental details
- MORF4L2 antibody ARP33721_T100-NP_036418-MORF4L2 (mortality factor 4 like 2) Antibody was used in IHC to stain formalin-fixed, paraffin-embedded human brain. This image was taken for the unconjugated form of this product. Other forms have not been tested.