Antibody data
- Antibody Data
- Antigen structure
- References [0]
- Comments [0]
- Validations
- Western blot [1]
- Immunocytochemistry [1]
- Immunohistochemistry [1]
Submit
Validation data
Reference
Comment
Report error
- Product number
- TA320020 - Provider product page

- Provider
- OriGene
- Product name
- Rabbit Polyclonal ZBTB3 Antibody
- Antibody type
- Polyclonal
- Description
- Rabbit Polyclonal ZBTB3 Antibody
- Host
- Rabbit
- Conjugate
- Unconjugated
- Epitope
- ZBTB3
- Isotype
- IgG
- Antibody clone number
- NULL
- Vial size
- 100 µg
- Concentration
- 1ug/ul
No comments: Submit comment
Supportive validation
- Submitted by
- OriGene (provider)
- Main image

- Experimental details
- Western blot analysis of ZBTB3 in rat brain tissue lysate with ZBTB3 antibody at (A) 1 and (B) 2 ug/mL.
- Validation comment
- WB
Supportive validation
- Submitted by
- OriGene (provider)
- Main image

- Experimental details
- Immunofluorescence of ZBTB3 in human brain tissue with ZBTB3 antibody at 20 ug/mL.
- Validation comment
- IF
Supportive validation
- Submitted by
- OriGene (provider)
- Main image

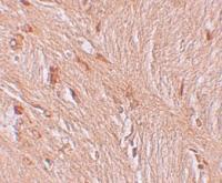
- Experimental details
- Immunohistochemistry of ZBTB3 in human brain tissue with ZBTB3 antibody at 2.5 ug/mL.
- Validation comment
- IHC