Antibody data
- Antibody Data
- Antigen structure
- References [0]
- Comments [0]
- Validations
- Western blot [1]
- Immunohistochemistry [1]
Submit
Validation data
Reference
Comment
Report error
- Product number
- NBP1-76516 - Provider product page

- Provider
- Novus Biologicals
- Proper citation
- Novus Cat#NBP1-76516, RRID:AB_11015675
- Product name
- Rabbit Polyclonal ZBTB3 Antibody
- Antibody type
- Polyclonal
- Description
- Peptide affinity purified. At least three isoforms of ZBTB3 are known to exist. This antibody is predicted to not cross-react with other ZBTB protein family members.
- Reactivity
- Human, Mouse, Rat
- Host
- Rabbit
- Isotype
- IgG
- Vial size
- 0.1 mg
- Concentration
- 1 mg/ml
- Storage
- Store at 4C short term. Aliquot and store at -20C long term. Avoid freeze-thaw cycles.
No comments: Submit comment
Supportive validation
- Submitted by
- Novus Biologicals (provider)
- Main image

- Experimental details
- Western Blot: ZBTB3 Antibody [NBP1-76516] - Rat brain tissue lysate with ZBTB3 antibody at (A) 1 and (B) 2 ug/mL.
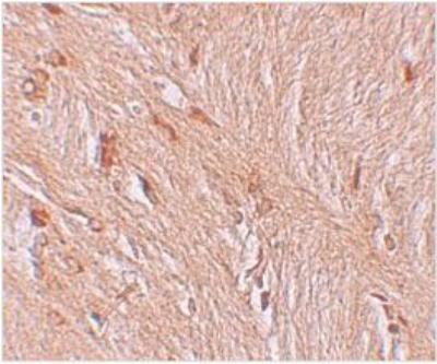
Supportive validation
- Submitted by
- Novus Biologicals (provider)
- Main image

- Experimental details
- Immunohistochemistry-Paraffin: ZBTB3 Antibody [NBP1-76516] - human brain tissue with ZBTB3 antibody at 2.5 ug/mL.