Antibody data
- Antibody Data
- Antigen structure
- References [0]
- Comments [0]
- Validations
- Western blot [1]
- Immunohistochemistry [2]
Submit
Validation data
Reference
Comment
Report error
- Product number
- LS-C288512 - Provider product page

- Provider
- LSBio
- Product name
- FLNB / TAP Antibody (aa2552-2602) LS-C288512
- Antibody type
- Polyclonal
- Description
- Affinity purified
- Reactivity
- Human, Mouse
- Host
- Rabbit
- Isotype
- IgG
- Storage
- Store at 2-8°C for up to one year.
No comments: Submit comment
Enhanced validation
- Submitted by
- LSBio (provider)
- Enhanced method
- Genetic validation
- Main image

- Experimental details
- Detection of Human and Mouse Filamin B by Western Blot. Samples: Whole cell lysate from HeLa (5, 15 and 50 ug), 293T (T; 50 ug), and mouse NIH3T3 (M; 50 ug) cells. Antibodies: Affinity purified rabbit anti-Filamin B antibody used for WB at 0.04 ug/ml. Detection: Chemiluminescence with an exposure time of 3 seconds.
Supportive validation
- Submitted by
- LSBio (provider)
- Enhanced method
- Genetic validation
- Main image

- Experimental details
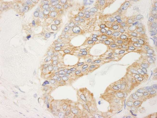
- Detection of Human Filamin B by Immunohistochemistry. Sample: FFPE section of human prostate carcinoma. Antibody: Affinity purified rabbit anti-Filamin B used at a dilution of 1:200 (1 Detection: DAB.
- Submitted by
- LSBio (provider)
- Enhanced method
- Genetic validation
- Main image

- Experimental details
- Detection of Human Filamin B by Immunohistochemistry. Sample: FFPE section of human prostate carcinoma. Antibody: Affinity purified rabbit anti-Filamin B used at a dilution of 1:200 (1 Detection: DAB.