Antibody data
- Antibody Data
- Antigen structure
- References [0]
- Comments [0]
- Validations
- Immunocytochemistry [1]
- Immunohistochemistry [3]
Submit
Validation data
Reference
Comment
Report error
- Product number
- PA5-31054 - Provider product page

- Provider
- Invitrogen Antibodies
- Product name
- RPL8 Polyclonal Antibody
- Antibody type
- Polyclonal
- Antigen
- Recombinant full-length protein
- Description
- Recommended positive controls: Raji. Predicted reactivity: Mouse (100%), Rat (100%), Zebrafish (98%), Japanese Medaka (97%), Drosophila (82%), Xenopus laevis (98%), Chicken (99%), Rhesus Monkey (100%), Bovine (100%). Store product as a concentrated solution. Centrifuge briefly prior to opening the vial.
- Reactivity
- Human, Mouse, Rat
- Host
- Rabbit
- Isotype
- IgG
- Vial size
- 100 μL
- Concentration
- 0.91 mg/mL
- Storage
- Store at 4°C short term. For long term storage, store at -20°C, avoiding freeze/thaw cycles.
No comments: Submit comment
Supportive validation
- Submitted by
- Invitrogen Antibodies (provider)
- Main image

- Experimental details
- Immunofluorescent analysis of RPL8 in methanol-fixed A431 cells using a RPL8 polyclonal antibody (Product # PA5-31054) at a 1:200 dilution.
Supportive validation
- Submitted by
- Invitrogen Antibodies (provider)
- Main image

- Experimental details
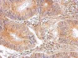
- RPL8 Polyclonal Antibody detects RPL8 protein at cytosol on human gastric cancer by immunohistochemical analysis. Sample: Paraffin-embedded gastric cancer. RPL8 Polyclonal Antibody (Product # PA5-31054) dilution: 1:500. Antigen Retrieval: EDTA based buffer, pH 8.0, 15 min.
- Submitted by
- Invitrogen Antibodies (provider)
- Main image

- Experimental details
- RPL8 Polyclonal Antibody detects RPL8 protein at cytosol on mouse fore brain by immunohistochemical analysis. Sample: Paraffin-embedded mouse fore brain. RPL8 Polyclonal Antibody (Product # PA5-31054) dilution: 1:500. Antigen Retrieval: EDTA based buffer, pH 8.0, 15 min.
- Submitted by
- Invitrogen Antibodies (provider)
- Main image

- Experimental details
- RPL8 Polyclonal Antibody detects RPL8 protein at cytosol on rat fore brain by immunohistochemical analysis. Sample: Paraffin-embedded rat fore brain. RPL8 Polyclonal Antibody (Product # PA5-31054) dilution: 1:500. Antigen Retrieval: EDTA based buffer, pH 8.0, 15 min.