Antibody data
- Antibody Data
- Antigen structure
- References [2]
- Comments [0]
- Validations
- Western blot [2]
- Immunocytochemistry [1]
- Immunohistochemistry [1]
Submit
Validation data
Reference
Comment
Report error
- Product number
- GTX104255 - Provider product page

- Provider
- GeneTex
- Proper citation
- GeneTex Cat#GTX104255, RRID:AB_2037117
- Product name
- GOLGA5 antibody [N2C2], Internal
- Antibody type
- Polyclonal
- Reactivity
- Human, Mouse
- Host
- Rabbit
Submitted references Selective serotonin reuptake inhibitor, fluoxetine, impairs E-cadherin-mediated cell adhesion and alters calcium homeostasis in pancreatic beta cells.
A CREB3-ARF4 signalling pathway mediates the response to Golgi stress and susceptibility to pathogens.
Chang HY, Chen SL, Shen MR, Kung ML, Chuang LM, Chen YW
Scientific reports 2017 Jun 14;7(1):3515
Scientific reports 2017 Jun 14;7(1):3515
A CREB3-ARF4 signalling pathway mediates the response to Golgi stress and susceptibility to pathogens.
Reiling JH, Olive AJ, Sanyal S, Carette JE, Brummelkamp TR, Ploegh HL, Starnbach MN, Sabatini DM
Nature cell biology 2013 Dec;15(12):1473-85
Nature cell biology 2013 Dec;15(12):1473-85
No comments: Submit comment
Supportive validation
- Submitted by
- GeneTex (provider)
- Main image

- Experimental details
- Sample (50 ug of whole cell lysate) A: Mouse brain 7.5% SDS PAGE GTX104255 diluted at 1:1000
- Submitted by
- GeneTex (provider)
- Main image

- Experimental details
- Sample (30 ug of whole cell lysate) A: A549 7.5% SDS PAGE GTX104255 diluted at 1:1000
Supportive validation
- Submitted by
- GeneTex (provider)
- Main image

- Experimental details
- Confocal immunofluorescence analysis (Olympus FV10i) of methanol-fixed HeLa, using GOLGA5(GTX104255) antibody (Green) at 1:500 dilution. Alpha-tubulin filaments were labeled with GTX11304 (Red) at 1:2500.
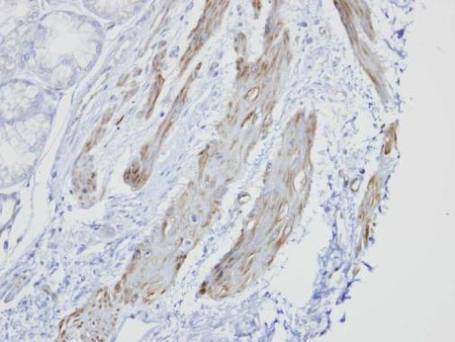
Supportive validation
- Submitted by
- GeneTex (provider)
- Main image

- Experimental details
- Immunohistochemical analysis of paraffin-embedded human smooth muscle, using GOLGA5(GTX104255) antibody at 1:100 dilution.