Antibody data
- Antibody Data
- Antigen structure
- References [5]
- Comments [0]
- Validations
- Western blot [2]
- Immunohistochemistry [19]
Submit
Validation data
Reference
Comment
Report error
- Product number
- NBP1-83352 - Provider product page

- Provider
- Novus Biologicals
- Proper citation
- Novus Cat#NBP1-83352, RRID:AB_11002415
- Product name
- Rabbit Polyclonal GOLGA5 Antibody
- Antibody type
- Polyclonal
- Description
- Immunogen affinity purified. Specificity of human GOLGA5 antibody verified on a Protein Array containing target protein plus 383 other non-specific proteins.
- Reactivity
- Human
- Host
- Rabbit
- Isotype
- IgG
- Vial size
- 0.1 ml
- Storage
- Store at 4C short term. Aliquot and store at -20C long term. Avoid freeze-thaw cycles.
Submitted references Trafficking and secretion of keratin 75 by ameloblasts in vivo.
Membrane trafficking. The specificity of vesicle traffic to the Golgi is encoded in the golgin coiled-coil proteins.
Systematic validation of antibody binding and protein subcellular localization using siRNA and confocal microscopy.
Multiple domains in the Crumbs Homolog 2a (Crb2a) protein are required for regulating rod photoreceptor size.
Systematically generated antibodies against human gene products: high throughput screening on sections from the rat nervous system.
Yang X, Yamazaki H, Yamakoshi Y, Duverger O, Morasso MI, Beniash E
The Journal of biological chemistry 2019 Nov 29;294(48):18475-18487
The Journal of biological chemistry 2019 Nov 29;294(48):18475-18487
Membrane trafficking. The specificity of vesicle traffic to the Golgi is encoded in the golgin coiled-coil proteins.
Wong M, Munro S
Science (New York, N.Y.) 2014 Oct 31;346(6209):1256898
Science (New York, N.Y.) 2014 Oct 31;346(6209):1256898
Systematic validation of antibody binding and protein subcellular localization using siRNA and confocal microscopy.
Stadler C, Hjelmare M, Neumann B, Jonasson K, Pepperkok R, Uhlén M, Lundberg E
Journal of proteomics 2012 Apr 3;75(7):2236-51
Journal of proteomics 2012 Apr 3;75(7):2236-51
Multiple domains in the Crumbs Homolog 2a (Crb2a) protein are required for regulating rod photoreceptor size.
Hsu YC, Jensen AM
BMC cell biology 2010 Jul 29;11:60
BMC cell biology 2010 Jul 29;11:60
Systematically generated antibodies against human gene products: high throughput screening on sections from the rat nervous system.
Mulder J, Wernérus H, Shi TJ, Pontén F, Hober S, Uhlén M, Hökfelt T
Neuroscience 2007 Jun 8;146(4):1689-703
Neuroscience 2007 Jun 8;146(4):1689-703
No comments: Submit comment
Supportive validation
- Submitted by
- Novus Biologicals (provider)
- Main image

- Experimental details
- Western Blot: GOLGA5 Antibody [NBP1-83352] - Analysis in human cell line U-87 MG.
- Submitted by
- Novus Biologicals (provider)
- Main image

- Experimental details
- Western Blot: GOLGA5 Antibody [NBP1-83352] - Analysis in U-87MG ATCC cells transfected with control siRNA, target specific siRNA probe #1 and #2,. Remaining relative intensity is presented. Loading control: Anti-GAPDH.
Supportive validation
- Submitted by
- Novus Biologicals (provider)
- Main image

- Experimental details
- Immunohistochemistry-Paraffin: GOLGA5 Antibody [NBP1-83352] - Staining of human stomach shows strong granular positivity in cytoplasm of glandular cells.
- Submitted by
- Novus Biologicals (provider)
- Main image

- Experimental details
- Immunohistochemistry-Paraffin: GOLGA5 Antibody [NBP1-83352] - Staining of human cerebral cortex shows granular cytoplasmic immunoreactivity in neurons.
- Submitted by
- Novus Biologicals (provider)
- Main image

- Experimental details
- Immunohistochemistry-Paraffin: GOLGA5 Antibody [NBP1-83352] - Staining of human hippocampus shows moderate granular immunoreactivity in neurons.
- Submitted by
- Novus Biologicals (provider)
- Main image

- Experimental details
- Immunohistochemistry-Paraffin: GOLGA5 Antibody [NBP1-83352] - Staining of human testis.
- Submitted by
- Novus Biologicals (provider)
- Main image

- Experimental details
- Immunohistochemistry-Paraffin: GOLGA5 Antibody [NBP1-83352] - Staining of human cerebral cortex.
- Submitted by
- Novus Biologicals (provider)
- Main image

- Experimental details
- Immunohistochemistry-Paraffin: GOLGA5 Antibody [NBP1-83352] - Staining of human liver.
- Submitted by
- Novus Biologicals (provider)
- Main image

- Experimental details
- Immunohistochemistry-Paraffin: GOLGA5 Antibody [NBP1-83352] - Staining of human kidney.
- Submitted by
- Novus Biologicals (provider)
- Main image

- Experimental details
- Immunohistochemistry: GOLGA5 Antibody [NBP1-83352] - Staining of mouse motor cortex shows strong cytoplasmic immunoreactivity in neurons.
- Submitted by
- Novus Biologicals (provider)
- Main image

- Experimental details
- Immunohistochemistry: GOLGA5 Antibody [NBP1-83352] - Staining of mouse hippocampus shows immunoreactivity in a subset of neurons in the CA3 area.
- Submitted by
- Novus Biologicals (provider)
- Main image

- Experimental details
- Immunohistochemistry: GOLGA5 Antibody [NBP1-83352] - Staining of mouse mesencephalic reticular formation shows strong immunoreactivity in a subset of neurons.
- Submitted by
- Novus Biologicals (provider)
- Main image

- Experimental details
- Immunohistochemistry: GOLGA5 Antibody [NBP1-83352] - Staining of mouse thalamus shows positivity in neuronal cell bodies in ventral anterior nucleus.
- Submitted by
- Novus Biologicals (provider)
- Main image

- Experimental details
- Immunohistochemistry: GOLGA5 Antibody [NBP1-83352] - Staining of mouse globus pallidus shows positivity in neuronal cell bodies.
- Submitted by
- Novus Biologicals (provider)
- Main image

- Experimental details
- Immunohistochemistry-Paraffin: GOLGA5 Antibody [NBP1-83352] - Staining of human cerebellum shows moderate granular cytoplasmic positivity in Purkinje cells.
- Submitted by
- Novus Biologicals (provider)
- Main image

- Experimental details
- Immunohistochemistry-Paraffin: GOLGA5 Antibody [NBP1-83352] - Staining of human cerebellum, epididymis, stomach and testis using Anti-GOLGA5 antibody NBP1-83352 (A) shows similar protein distribution across tissues to independent antibody NBP2-39007 (B).
- Submitted by
- Novus Biologicals (provider)
- Main image

- Experimental details
- Immunohistochemistry-Paraffin: GOLGA5 Antibody [NBP1-83352] - Staining of human epididymis shows strong positivity in Golgi apparatus in glandular cells.
- Submitted by
- Novus Biologicals (provider)
- Main image

- Experimental details
- Immunohistochemistry-Paraffin: GOLGA5 Antibody [NBP1-83352] - Staining of human skeletal muscle shows no positivity in myocytes as expected.
- Submitted by
- Novus Biologicals (provider)
- Main image

- Experimental details
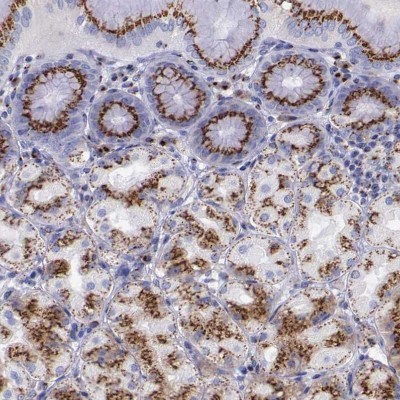
- Immunohistochemistry-Paraffin: GOLGA5 Antibody [NBP1-83352] - Staining of human stomach shows moderate to strong granular cytoplasmic positivity in glandular cells.
- Submitted by
- Novus Biologicals (provider)
- Main image

- Experimental details
- Immunohistochemistry-Paraffin: GOLGA5 Antibody [NBP1-83352] - Staining of human testis shows moderate to strong granular cytoplasmic positivity in cells in seminiferous ducts.
- Submitted by
- Novus Biologicals (provider)
- Main image

- Experimental details
- Immunohistochemistry-Paraffin: GOLGA5 Antibody [NBP1-83352] - Staining in human epididymis and skeletal muscle tissues using NBP1-83352 antibody. Corresponding GOLGA5 RNA-seq data are presented for the same tissues.