Antibody data
- Antibody Data
- Antigen structure
- References [8]
- Comments [0]
- Validations
- Western blot [1]
- Immunohistochemistry [1]
Submit
Validation data
Reference
Comment
Report error
- Product number
- sc-158 - Provider product page

- Provider
- Santa Cruz Biotechnology
- Proper citation
- Santa Cruz Biotechnology Cat#sc-158, RRID:AB_631240
- Product name
- Anti-CEBPE
- Antibody type
- Polyclonal (Antigen purified)
- Antigen
- Synthetic peptide
- Reactivity
- Human
- Host
- Rabbit
Submitted references Human C/EBP-epsilon activator and repressor isoforms differentially reprogram myeloid lineage commitment and differentiation.
Regulation of the MAD1 promoter by G-CSF.
Growth factor independence-1 (Gfi-1) plays a role in mediating specific granule deficiency (SGD) in a patient lacking a gene-inactivating mutation in the C/EBPepsilon gene.
Characterization of the amino acid response element within the human sodium-coupled neutral amino acid transporter 2 (SNAT2) System A transporter gene.
ATRA resolves the differentiation block in t(15;17) acute myeloid leukemia by restoring PU.1 expression.
Transcription profiling of C/EBP targets identifies Per2 as a gene implicated in myeloid leukemia.
C/EBPδ expression in a BCR-ABL-positive cell line induces growth arrest and myeloid differentiation
C/EBPbeta regulation in lipopolysaccharide-stimulated macrophages.
Bedi R, Du J, Sharma AK, Gomes I, Ackerman SJ
Blood 2009 Jan 8;113(2):317-27
Blood 2009 Jan 8;113(2):317-27
Regulation of the MAD1 promoter by G-CSF.
Jiang K, Hein N, Eckert K, Lüscher-Firzlaff J, Lüscher B
Nucleic acids research 2008 Mar;36(5):1517-31
Nucleic acids research 2008 Mar;36(5):1517-31
Growth factor independence-1 (Gfi-1) plays a role in mediating specific granule deficiency (SGD) in a patient lacking a gene-inactivating mutation in the C/EBPepsilon gene.
Khanna-Gupta A, Sun H, Zibello T, Lee HM, Dahl R, Boxer LA, Berliner N
Blood 2007 May 15;109(10):4181-90
Blood 2007 May 15;109(10):4181-90
Characterization of the amino acid response element within the human sodium-coupled neutral amino acid transporter 2 (SNAT2) System A transporter gene.
Palii SS, Thiaville MM, Pan YX, Zhong C, Kilberg MS
The Biochemical journal 2006 May 1;395(3):517-27
The Biochemical journal 2006 May 1;395(3):517-27
ATRA resolves the differentiation block in t(15;17) acute myeloid leukemia by restoring PU.1 expression.
Mueller BU, Pabst T, Fos J, Petkovic V, Fey MF, Asou N, Buergi U, Tenen DG
Blood 2006 Apr 15;107(8):3330-8
Blood 2006 Apr 15;107(8):3330-8
Transcription profiling of C/EBP targets identifies Per2 as a gene implicated in myeloid leukemia.
Gery S, Gombart AF, Yi WS, Koeffler C, Hofmann WK, Koeffler HP
Blood 2005 Oct 15;106(8):2827-36
Blood 2005 Oct 15;106(8):2827-36
C/EBPδ expression in a BCR-ABL-positive cell line induces growth arrest and myeloid differentiation
Sigal Gery, Sakae Tanosaki, Wolf-K Hofmann, Ahrin Koppel, H Phillip Koeffler
Oncogene 2005 Jan;24(9):1589-1597
Oncogene 2005 Jan;24(9):1589-1597
C/EBPbeta regulation in lipopolysaccharide-stimulated macrophages.
Bradley MN, Zhou L, Smale ST
Molecular and cellular biology 2003 Jul;23(14):4841-58
Molecular and cellular biology 2003 Jul;23(14):4841-58
No comments: Submit comment
Supportive validation
- Submitted by
- per
- Main image

- Experimental details
- Western blot analysis of antibody specificity using a routine panel composed of IgG/HSA-depleted human plasma and protein lysates from selected human tissues and cell lines.
- Validation comment
- Single band differing more than +/-20% from predicted size in kDa and not supported by experimental and/or bioinformatic data.
- Primary Ab dilution
- 1:500
- Secondary Ab dilution
- 1:3000
- Lane 1
- Marker [kDa]: 230, 110, 82, 49.3, 32.2, 25.5, 17.6
- Lane 2
- RT-4
- Lane 3
- U-251MG sp
- Lane 4
- Human Plasma
- Lane 5
- Liver
- Lane 6
- Tonsil
- Theoretical target weight
- [kDa] 31
Supportive validation
- Submitted by
- per
- Main image

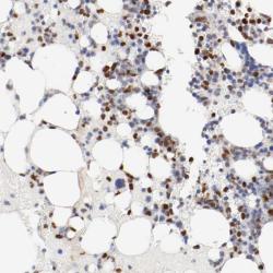
- Experimental details
- Immunohistochemical staining of human bone marrow shows strong nuclear positivity in a subset of bone marrow poietic cells.
- Validation comment
- Two independent antibodies targeting one protein yielding similar staining patterns. Staining pattern consistent with experimental and/or bioinformatic data.