Antibody data
- Antibody Data
- Antigen structure
- References [0]
- Comments [0]
- Validations
- Immunocytochemistry [2]
- Immunohistochemistry [4]
Submit
Validation data
Reference
Comment
Report error
- Product number
- PA5-82044 - Provider product page

- Provider
- Invitrogen Antibodies
- Product name
- C/EBP epsilon Polyclonal Antibody
- Antibody type
- Polyclonal
- Antigen
- Recombinant protein fragment
- Description
- Immunogen sequence: SHGTYYECEP RGGQQPLEFS GGRAGPGELG DMCEHEASID LSAYIESGEE QLLSDLFAVK PAPEARGLKG PGTPAFPHYL PPDPRPFAYP PHTFGPDRKA LGPGIYSSPG SYDPRAVAVK EEPR
- Reactivity
- Human
- Host
- Rabbit
- Isotype
- IgG
- Vial size
- 100 μL
- Concentration
- 0.1 mg/mL
- Storage
- Store at 4°C short term. For long term storage, store at -20°C, avoiding freeze/thaw cycles.
No comments: Submit comment
Supportive validation
- Submitted by
- Invitrogen Antibodies (provider)
- Main image

- Experimental details
- Immunofluorescent analysis of C/EBP epsilon in U-251 MG cells using a C/EBP epsilon polyclonal antibody (Product # PA5-82044). The analysis shows localization to nucleoplasm.
- Submitted by
- Invitrogen Antibodies (provider)
- Main image

- Experimental details
- Immunofluorecent analysis of C/EBP epsilon in human cell line U-251 MG using C/EBP epsilon Polyclonal Antibody (Product # PA5-82044). Staining shows localization to nucleoplasm.
Supportive validation
- Submitted by
- Invitrogen Antibodies (provider)
- Main image

- Experimental details
- Immunohistochemical analysis of C/EBP epsilon in human prostate using C/EBP epsilon Polyclonal Antibody (Product # PA5-82044) shows no positivity in cells in seminiferous ducts as expected.
- Submitted by
- Invitrogen Antibodies (provider)
- Main image

- Experimental details
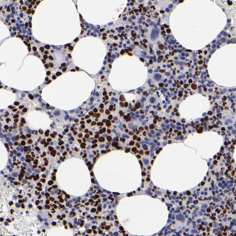
- Immunohistochemical analysis of C/EBP epsilon in human bone marrow using C/EBP epsilon Polyclonal Antibody (Product # PA5-82044) shows strong nuclear positivity in hematopoietic cells.
- Submitted by
- Invitrogen Antibodies (provider)
- Main image

- Experimental details
- Immunohistochemical analysis of C/EBP epsilon in human liver using C/EBP epsilon Polyclonal Antibody (Product # PA5-82044) shows no positivity in hepatocytes as expected.
- Submitted by
- Invitrogen Antibodies (provider)
- Main image

- Experimental details
- Immunohistochemical analysis of C/EBP epsilon in human skeletal muscle using C/EBP epsilon Polyclonal Antibody (Product # PA5-82044) shows no positivity in myocytes as expected.