Antibody data
- Antibody Data
- Antigen structure
- References [0]
- Comments [0]
- Validations
- Western blot [2]
- Immunohistochemistry [5]
Submit
Validation data
Reference
Comment
Report error
- Product number
- LS-C313242 - Provider product page

- Provider
- LSBio
- Product name
- SDC3 / Syndecan 3 Antibody (aa45-60) LS-C313242
- Antibody type
- Polyclonal
- Description
- Immunogen affinity purified
- Reactivity
- Human, Mouse, Rat
- Host
- Rabbit
- Storage
- At -20°C for 1 year. After reconstitution, at 4°C for 1 month. It can also be aliquotted and stored frozen at -20°C for a longer time. Avoid freeze-thaw cycles.
No comments: Submit comment
Enhanced validation
- Submitted by
- LSBio (provider)
- Enhanced method
- Genetic validation
- Main image

- Experimental details
- WB of SDC3 / Syndecan 3 antibody. Lane 1: U87 Cell Lysate. Lane 2: 293T Cell Lysate. Lane 3: PC-12 Cell Lysate. Lane 4: NRK Cell Lysate. Lane 5: HT1080 Cell Lysate.
- Submitted by
- LSBio (provider)
- Enhanced method
- Genetic validation
- Main image

- Experimental details
- Anti-Syndecan 3/SDC3 antibody, Western blotting Lane 1: U87 Cell LysateLane 2: 293T Cell LysateLane 3: PC-12 Cell LysateLane 4: NRK Cell LysateLane 5: HT1080 Cell Lysate
Supportive validation
- Submitted by
- LSBio (provider)
- Enhanced method
- Genetic validation
- Main image

- Experimental details
- SDC3 / Syndecan 3 antibody. IHC(P): Human Placenta Tissue.
- Submitted by
- LSBio (provider)
- Enhanced method
- Genetic validation
- Main image

- Experimental details
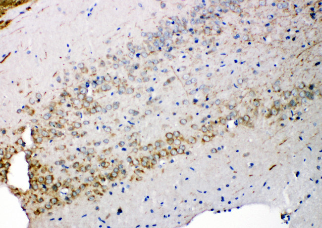
- SDC3 / Syndecan 3 antibody. IHC(P): Rat Brain Tissue.
- Submitted by
- LSBio (provider)
- Enhanced method
- Genetic validation
- Main image

- Experimental details
- SDC3 / Syndecan 3 antibody. IHC(P): Human Placenta Tissue.
- Submitted by
- LSBio (provider)
- Enhanced method
- Genetic validation
- Main image

- Experimental details
- SDC3 / Syndecan 3 antibody. IHC(P): Human Placenta Tissue.
- Submitted by
- LSBio (provider)
- Enhanced method
- Genetic validation
- Main image

- Experimental details
- SDC3 / Syndecan 3 antibody. IHC(P): Rat Brain Tissue.