Antibody data
- Antibody Data
- Antigen structure
- References [0]
- Comments [0]
- Validations
- Immunohistochemistry [1]
Submit
Validation data
Reference
Comment
Report error
- Product number
- PP1009P1 - Provider product page

- Provider
- OriGene
- Product name
- CX3CL1 rabbit polyclonal antibody, Aff - Purified
- Antibody type
- Polyclonal
- Description
- CX3CL1 rabbit polyclonal antibody, Aff - Purified
- Host
- Rabbit
- Conjugate
- Unconjugated
- Epitope
- CX3CL1
- Antibody clone number
- NULL
- Vial size
- 50 µg
- Concentration
- NULL
No comments: Submit comment
Supportive validation
- Submitted by
- OriGene (provider)
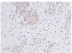
- Main image

- Experimental details
- Formalin-fixed, paraffin-embedded sections of human pancreas malignant ductal adenocarcinoma using?Fractalkine / CX3CL1 Cat.-No?PP1009P
- Validation comment
- IHC