Antibody data
- Antibody Data
- Antigen structure
- References [0]
- Comments [0]
- Validations
- Western blot [2]
- Immunocytochemistry [1]
- Immunohistochemistry [4]
Submit
Validation data
Reference
Comment
Report error
- Product number
- 11827-1-AP - Provider product page 
- Provider
- Invitrogen Antibodies
- Product name
- FGL2 Polyclonal Antibody
- Antibody type
- Polyclonal
- Antigen
- Other
- Reactivity
- Human, Mouse, Rat
- Host
- Rabbit
- Isotype
- IgG
- Vial size
- 150 µL
- Concentration
- 0.18 mg/mL
- Storage
- -20°C
				No comments: Submit comment	
	
			
							
					Supportive validation
					
									
				
				- Submitted by
- Invitrogen Antibodies (provider)
- Main image
 
- Experimental details
- Human ileum tissue were subjected to SDS PAGE followed by western blot with 11827-1-AP (FGL2 antibody) at dilution of 1:400 incubated at room temperature for 1.5 hours.
- Submitted by
- Invitrogen Antibodies (provider)
- Main image
 
- Experimental details
- Mouse thymus tissue were subjected to SDS PAGE followed by western blot with 11827-1-AP (FGL2 antibody) at dilution of 1:300 incubated at room temperature for 1.5 hours.
							
					Supportive validation
					
									
				
				- Submitted by
- Invitrogen Antibodies (provider)
- Main image
 
- Experimental details
- Immunofluorescent analysis of HepG2 cells, using FGL2 antibody 11827-1-AP at 1:25 dilution and Rhodamine-labeled goat anti-rabbit IGG (red). Blue pseudocolor = DAPI (fluorescent DNA dye).
							
					Supportive validation
					
									
				
		- Submitted by
- Invitrogen Antibodies (provider)
- Main image
 
- Experimental details
- Immunohistochemistry of paraffin-embedded human colon cancer using 11827-1-AP (FGL2 antibody) at dilution of 1:50 (under 10x lens).
- Submitted by
- Invitrogen Antibodies (provider)
- Main image
 
- Experimental details
- Immunohistochemistry of paraffin-embedded human colon cancer using 11827-1-AP (FGL2 antibody) at dilution of 1:50 (under 40x lens).
- Submitted by
- Invitrogen Antibodies (provider)
- Main image
 
- Experimental details
- Immunohistochemistry of paraffin-embedded human colon cancer using 11827-1-AP (FGL2 antibody) at dilution of 1:50 (under 10x lens).
- Submitted by
- Invitrogen Antibodies (provider)
- Main image
 
- Experimental details
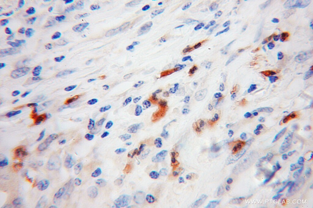
- Immunohistochemistry of paraffin-embedded human colon cancer using 11827-1-AP (FGL2 antibody) at dilution of 1:50 (under 40x lens).