Antibody data
- Antibody Data
- Antigen structure
- References [0]
- Comments [0]
- Validations
- Western blot [1]
- Immunohistochemistry [5]
Submit
Validation data
Reference
Comment
Report error
- Product number
- LS-C47370 - Provider product page

- Provider
- LSBio
- Proper citation
- LifeSpan Cat#LS-C47370, RRID:AB_2269818
- Product name
- RNF128 / GRAIL Antibody (aa227-253) LS-C47370
- Antibody type
- Polyclonal
- Description
- Immunoaffinity purified
- Reactivity
- Human, Mouse, Rat, Bovine, Canine, Horse, Porcine, Rabbit, Simian
- Host
- Rabbit
- Storage
- Short term: store at 4°C. Long term: aliquot and store at -20°C. Avoid freeze-thaw cycles.
No comments: Submit comment
Enhanced validation
- Submitted by
- LSBio (provider)
- Enhanced method
- Genetic validation
- Main image

- Experimental details
- Western blot of human GRAIL in human spleen lysate in the 1) absence and2) presence of immunizing peptide, 3) mouse spleen and 4) rat spleen using antibody at1 ug/ml.
Enhanced validation
- Submitted by
- LSBio (provider)
- Enhanced method
- Genetic validation
- Main image

- Experimental details
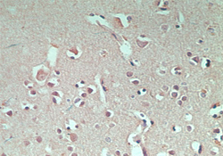
- IHC of normal human brain using antibody (GRAIL) at 5 ug/ml.
- Submitted by
- LSBio (provider)
- Enhanced method
- Genetic validation
- Main image

- Experimental details
- IHC of normal human brain using antibody (GRAIL) at 5 ug/ml.
- Submitted by
- LSBio (provider)
- Enhanced method
- Genetic validation
- Main image

- Experimental details
- IHC of normal human brain using control (rabbit Ig) at 5 ug/ml.
- Submitted by
- LSBio (provider)
- Main image

- Experimental details
- IHC of normal human brain using antibody (GRAIL) at 5 ug/ml.
- Submitted by
- LSBio (provider)
- Main image

- Experimental details
- IHC of normal human brain using control (rabbit Ig) at 5 ug/ml.