Antibody data
- Antibody Data
- Antigen structure
- References [0]
- Comments [0]
- Validations
- Western blot [1]
- Immunohistochemistry [2]
Submit
Validation data
Reference
Comment
Report error
- Product number
- TA807685 - Provider product page

- Provider
- OriGene
- Proper citation
- OriGene Cat#TA807685, RRID:AB_2628554
- Product name
- BMF mouse monoclonal antibody, clone OTI3H5 (formerly 3H5)
- Antibody type
- Monoclonal
- Description
- BMF mouse monoclonal antibody, clone OTI3H5 (formerly 3H5)
- Host
- Mouse
- Conjugate
- Unconjugated
- Epitope
- BMF
- Isotype
- IgG
- Antibody clone number
- OTI3H5
- Vial size
- 100 µl
- Concentration
- 1.00mg/ml
No comments: Submit comment
Supportive validation
- Submitted by
- OriGene (provider)
- Main image

- Experimental details
- HEK293T cells were transfected with the pCMV6-ENTRY control (Left lane) or pCMV6-ENTRY BMF (RC209733, Right lane) cDNA for 48 hrs and lysed. Equivalent amounts of cell lysates (5 ug per lane) were separated by SDS-PAGE and immunoblotted with anti-BMF.(1:2000)
- Validation comment
- WB
Supportive validation
- Submitted by
- OriGene (provider)
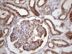
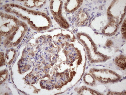
- Main image

- Experimental details
- Immunohistochemical staining of paraffin-embedded Human Kidney tissue within the normal limits using anti-BMF mouse monoclonal antibody. (Heat-induced epitope retrieval by 1 mM EDTA in 10mM Tris, pH8.5, 120C for 3min, TA807685)(1:150)
- Validation comment
- IHC
- Submitted by
- OriGene (provider)
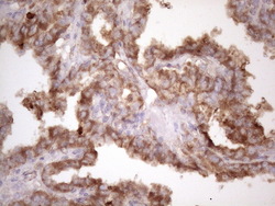
- Main image

- Experimental details
- Immunohistochemical staining of paraffin-embedded Carcinoma of Human thyroid tissue using anti-BMF mouse monoclonal antibody. (Heat-induced epitope retrieval by 1 mM EDTA in 10mM Tris, pH8.5, 120C for 3min, TA807685)(1:150)
- Validation comment
- IHC