Antibody data
- Antibody Data
- Antigen structure
- References [1]
- Comments [0]
- Validations
- Immunohistochemistry [6]
Submit
Validation data
Reference
Comment
Report error
- Product number
- NBP1-86117 - Provider product page

- Provider
- Novus Biologicals
- Proper citation
- Novus Cat#NBP1-86117, RRID:AB_11017846
- Product name
- Rabbit Polyclonal CPA3 Antibody
- Antibody type
- Polyclonal
- Description
- Immunogen affinity purified. Specificity of human CPA3 antibody verified on a Protein Array containing target protein plus 383 other non-specific proteins.
- Reactivity
- Human
- Host
- Rabbit
- Isotype
- IgG
- Vial size
- 0.1 ml
- Storage
- Store at 4C short term. Aliquot and store at -20C long term. Avoid freeze-thaw cycles.
Submitted references Glandular mast cells with distinct phenotype are highly elevated in chronic rhinosinusitis with nasal polyps.
Takabayashi T, Kato A, Peters AT, Suh LA, Carter R, Norton J, Grammer LC, Tan BK, Chandra RK, Conley DB, Kern RC, Fujieda S, Schleimer RP
The Journal of allergy and clinical immunology 2012 Aug;130(2):410-20.e5
The Journal of allergy and clinical immunology 2012 Aug;130(2):410-20.e5
No comments: Submit comment
Supportive validation
- Submitted by
- Novus Biologicals (provider)
- Main image

- Experimental details
- Immunohistochemistry-Paraffin: CPA3 Antibody [NBP1-86117] - Staining of human small intestine shows strong cytoplasmic positivity in mast cells.
- Submitted by
- Novus Biologicals (provider)
- Main image

- Experimental details
- Immunohistochemistry-Paraffin: CPA3 Antibody [NBP1-86117] - Staining of human cervix, uterine shows strong cytoplasmic positivity in mast cells.
- Submitted by
- Novus Biologicals (provider)
- Main image

- Experimental details
- Immunohistochemistry-Paraffin: CPA3 Antibody [NBP1-86117] - Staining of human skeletal muscle shows no positivity in myocytes as expected.
- Submitted by
- Novus Biologicals (provider)
- Main image

- Experimental details
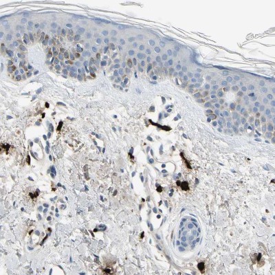
- Immunohistochemistry-Paraffin: CPA3 Antibody [NBP1-86117] - Staining of human skin shows strong cytoplasmic positivity in mast cells.
- Submitted by
- Novus Biologicals (provider)
- Main image

- Experimental details
- Immunohistochemistry-Paraffin: CPA3 Antibody [NBP1-86117] - Staining of human cervix, uterine, skeletal muscle, skin and small intestine using Anti-CPA3 antibody NBP1-86117 (A) shows similar protein distribution across tissues to independent antibody NBP1-86130 (B).
- Submitted by
- Novus Biologicals (provider)
- Main image

- Experimental details
- Immunohistochemistry-Paraffin: CPA3 Antibody [NBP1-86117] - Analysis in human cervix, uterine and skeletal muscle tissues. Corresponding CPA3 RNA-seq data are presented for the same tissues.