Antibody data
- Antibody Data
- Antigen structure
- References [0]
- Comments [0]
- Validations
- Immunocytochemistry [1]
- Immunohistochemistry [6]
Submit
Validation data
Reference
Comment
Report error
- Product number
- PA5-57083 - Provider product page

- Provider
- Invitrogen Antibodies
- Product name
- ZFAND6 Polyclonal Antibody
- Antibody type
- Polyclonal
- Antigen
- Recombinant protein fragment
- Description
- Immunogen sequence: SSNGRISPPA TSVSSLSESL PVQCTDGSVP EAQSALDSTS SSMQPSPVSN QSLLSESVAS SQLDSTSVDK Highest antigen sequence identity to the following orthologs: Mouse - 91%, Rat - 91%.
- Reactivity
- Human
- Host
- Rabbit
- Isotype
- IgG
- Vial size
- 100 μL
- Concentration
- 0.30 mg/mL
- Storage
- Store at 4°C short term. For long term storage, store at -20°C, avoiding freeze/thaw cycles.
No comments: Submit comment
Supportive validation
- Submitted by
- Invitrogen Antibodies (provider)
- Main image

- Experimental details
- Immunofluorescent staining of ZFAND6 in human cell line U-251 MG shows positivity in cytoplasm & nucleus but excluded from the nucleoli. Samples were probed using a ZFAND6 Polyclonal Antibody (Product # PA5-57083).
Supportive validation
- Submitted by
- Invitrogen Antibodies (provider)
- Main image

- Experimental details
- Immunohistochemical analysis of ZFAND6 in human kidney using ZFAND6 Polyclonal Antibody (Product # PA5-57083) shows weak cytoplasmic positivity in cells in tubules.
- Submitted by
- Invitrogen Antibodies (provider)
- Main image

- Experimental details
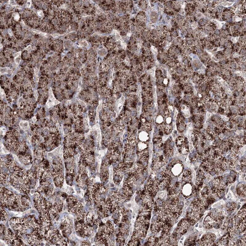
- Immunohistochemical analysis of ZFAND6 in human liver using ZFAND6 Polyclonal Antibody (Product # PA5-57083) shows strong granular cytoplasmic positivity in hepatocytes.
- Submitted by
- Invitrogen Antibodies (provider)
- Main image

- Experimental details
- Immunohistochemical analysis of ZFAND6 in human placenta using ZFAND6 Polyclonal Antibody (Product # PA5-57083) shows moderate cytoplasmic positivity in trophoblastic cells.
- Submitted by
- Invitrogen Antibodies (provider)
- Main image

- Experimental details
- Immunohistochemical analysis of ZFAND6 in human skeletal muscle using ZFAND6 Polyclonal Antibody (Product # PA5-57083) shows weak cytoplasmic positivity in myocytes.
- Submitted by
- Invitrogen Antibodies (provider)
- Main image

- Experimental details
- Immunohistochemical analysis of ZFAND6 in human kidney using ZFAND6 Polyclonal Antibody (Product # PA5-57083) shows weak cytoplasmic positivity in cells in tubules.
- Submitted by
- Invitrogen Antibodies (provider)
- Main image

- Experimental details
- Immunohistochemical analysis of ZFAND6 in human skeletal muscle using ZFAND6 Polyclonal Antibody (Product # PA5-57083) shows weak cytoplasmic positivity in myocytes.