Antibody data
- Antibody Data
- Antigen structure
- References [0]
- Comments [0]
- Validations
- Immunocytochemistry [1]
- Immunohistochemistry [1]
Submit
Validation data
Reference
Comment
Report error
- Product number
- PAB26398 - Provider product page

- Provider
- Abnova Corporation
- Product name
- GRM3 polyclonal antibody
- Antibody type
- Polyclonal
- Description
- Rabbit polyclonal antibody raised against synthetic peptide of GRM3.
- Storage
- Store at 4°C. For long term storage store at -80°C.Aliquot to avoid repeated freezing and thawing.
No comments: Submit comment
Supportive validation
- Submitted by
- Abnova Corporation (provider)
- Main image

- Experimental details
- Immunocytochemistry (ICC) staining of HEK293 human embryonic kidney cells transfected (A) or untransfected (B) with GRM3. Using GRM3 polyclonal antibody (Cat # PAB26398).
- Validation comment
- Immunocytochemistry
Supportive validation
- Submitted by
- Abnova Corporation (provider)
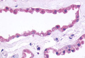
- Main image

- Experimental details
- Immunohistochemical (Formalin/PFA-fixed paraffin-embedded sections) staining in human brain, coroid plexus with GRM3 polyclonal antibody (Cat # PAB26398). Immunohistochemistry of formalin-fixed, paraffin-embedded tissue after heat-induced antigen retrieval.
- Validation comment
- Immunohistochemistry (Formalin/PFA-fixed paraffin-embedded sections)