Antibody data
- Antibody Data
- Antigen structure
- References [0]
- Comments [0]
- Validations
- Immunocytochemistry [2]
- Immunohistochemistry [1]
Submit
Validation data
Reference
Comment
Report error
- Product number
- SP4399P - Provider product page

- Provider
- Acris Antibodies GmbH
- Proper citation
- Acris Antibodies GmbH Cat#SP4399P, RRID:AB_1005052
- Product name
- anti mGluR3 / GRM3 (N-term)
- Antibody type
- Polyclonal
- Antigen
- Synthetic peptide - KLH conjugatedEpitope: N-terminal extracellular domain of human
- Reactivity
- Human, Mouse, Rat
- Host
- Rabbit
- Vial size
- 50 µg
- Concentration
- 1.0 mg/ml
No comments: Submit comment
Supportive validation
- Submitted by
- Acris Antibodies GmbH (provider)
- Main image

- Experimental details
- Cells expressing target protein - immunostained with target antibody
- Submitted by
- Acris Antibodies GmbH (provider)
- Main image

- Experimental details
- Cells expressing vector only - immunostained with target antibody
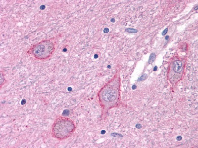
Supportive validation
- Submitted by
- Acris Antibodies GmbH (provider)
- Main image

- Experimental details
- Immunohistochemical staining of Brain (Neurons and glia) using anti- GRM3 antibody SP4399P