Antibody data
- Antibody Data
- Antigen structure
- References [0]
- Comments [0]
- Validations
- Immunohistochemistry [8]
Submit
Validation data
Reference
Comment
Report error
- Product number
- LS-C390512 - Provider product page

- Provider
- LSBio
- Product name
- KRT7 / CK7 / Cytokeratin 7 Antibody (clone KRT7/1198, Azide-free, BSA-free) LS-C390512
- Antibody type
- Monoclonal
- Description
- Protein G purified
- Reactivity
- Human, Rat
- Host
- Mouse
- Isotype
- IgG
- Antibody clone number
- KRT7/1198
- Storage
- Store at 2°C to 8°C.
No comments: Submit comment
Supportive validation
- Submitted by
- LSBio (provider)
- Enhanced method
- Genetic validation
- Main image

- Experimental details
- Formalin-fixed, paraffin-embedded human ovarian carcinoma stained with Keratin 7 antibody (KRT7/1198). This image was taken for the unmodified form of this product. Other forms have not been tested.
- Submitted by
- LSBio (provider)
- Enhanced method
- Genetic validation
- Main image

- Experimental details
- Formalin-fixed, paraffin-embedded human lung carcinoma stained with Keratin 7 antibody (KRT7/1198). This image was taken for the unmodified form of this product. Other forms have not been tested.
- Submitted by
- LSBio (provider)
- Enhanced method
- Genetic validation
- Main image

- Experimental details
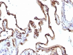
- Formalin-fixed, paraffin-embedded rat lung stained with Keratin 7 antibody (KRT7/1198). This image was taken for the unmodified form of this product. Other forms have not been tested.
- Submitted by
- LSBio (provider)
- Enhanced method
- Genetic validation
- Main image

- Experimental details
- Formalin-fixed, paraffin-embedded human ovarian carcinoma stained with Keratin 7 antibody (KRT7/1198). This image was taken for the unmodified form of this product. Other forms have not been tested.
- Submitted by
- LSBio (provider)
- Enhanced method
- Genetic validation
- Main image

- Experimental details
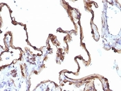
- Formalin-fixed, paraffin-embedded rat lung stained with Keratin 7 antibody (KRT7/1198). This image was taken for the unmodified form of this product. Other forms have not been tested.
- Submitted by
- LSBio (provider)
- Enhanced method
- Genetic validation
- Main image

- Experimental details
- Formalin-fixed, paraffin-embedded human ovarian carcinoma stained with Keratin 7 antibody (KRT7/1198). This image was taken for the unmodified form of this product. Other forms have not been tested.
- Submitted by
- LSBio (provider)
- Enhanced method
- Genetic validation
- Main image

- Experimental details
- Formalin-fixed, paraffin-embedded human lung carcinoma stained with Keratin 7 antibody (KRT7/1198). This image was taken for the unmodified form of this product. Other forms have not been tested.
- Submitted by
- LSBio (provider)
- Enhanced method
- Genetic validation
- Main image

- Experimental details
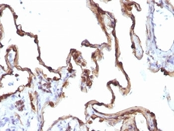
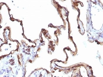
- Formalin-fixed, paraffin-embedded rat lung stained with Keratin 7 antibody (KRT7/1198). This image was taken for the unmodified form of this product. Other forms have not been tested.