Antibody data
- Antibody Data
- Antigen structure
- References [1]
- Comments [0]
- Validations
- Western blot [9]
- Immunocytochemistry [1]
- Immunohistochemistry [5]
Submit
Validation data
Reference
Comment
Report error
- Product number
- GTX630654 - Provider product page

- Provider
- GeneTex
- Product name
- Glutamine synthetase antibody [GT1055]
- Antibody type
- Monoclonal
- Reactivity
- Human, Mouse, Rat
- Host
- Mouse
Submitted references d-Cysteine promotes dendritic development in primary cultured cerebellar Purkinje cells via hydrogen sulfide production.
Seki T, Sato M, Konno A, Hirai H, Kurauchi Y, Hisatsune A, Katsuki H
Molecular and cellular neurosciences 2018 Dec;93:36-47
Molecular and cellular neurosciences 2018 Dec;93:36-47
No comments: Submit comment
Enhanced validation
Supportive validation
- Submitted by
- GeneTex (provider)
- Enhanced method
- Genetic validation
- Main image

- Experimental details
- Non-transfected (¡V) and transfected (+) 293T whole cell extracts (30 ?g) were separated by 10% SDS-PAGE, and the membrane was blotted with Glutamine synthetase antibody [GT1055] (GTX630654) diluted at 1:500.
Supportive validation
- Submitted by
- GeneTex (provider)
- Main image

- Experimental details
- Glutamine synthetase antibody [GT1055] detects Glutamine synthetase protein by western blot analysis.A.50 ?g mouse brain lysate/extract10 % SDS-PAGEGlutamine synthetase antibody [GT1055] (GTX630654) dilution: 1:1000
- Validation comment
- WB
- Submitted by
- GeneTex (provider)
- Main image

- Experimental details
- Glutamine synthetase antibody [GT1055] detects Glutamine synthetase protein by western blot analysis.A. 50 ?g rat brain lysate/extract10 % SDS-PAGEGlutamine synthetase antibody [GT1055] (GTX630654) dilution: 1:1000
- Validation comment
- WB
- Submitted by
- GeneTex (provider)
- Main image

- Experimental details
- Glutamine synthetase antibody [GT1055] detects Glutamine synthetase protein by western blot analysis.A. 30 £gg U87-MG whole cell lysate/extract B. 30 £gg SK-N-SH whole cell lysate/extract C. 30 £gg IMR32 whole cell lysate/extract D. 30 £gg SK-N-AS whole cell lysate/extract10 % SDS-PAGEGlutamine synthetase antibody [GT1055] (GTX630654) dilution: 1:1000
- Submitted by
- GeneTex (provider)
- Main image

- Experimental details
- Glutamine synthetase antibody [GT1055] detects Glutamine synthetase protein by western blot analysis.A. 30 £gg 293T whole cell lysate/extract B. 30 £gg HeLa whole cell lysate/extract C. 30 £gg HepG2 whole cell lysate/extract10 % SDS-PAGEGlutamine synthetase antibody [GT1055] (GTX630654) dilution: 1:1000
- Submitted by
- GeneTex (provider)
- Main image

- Experimental details
- Mouse tissue extract (50 ?g) was separated by 10% SDS-PAGE, and the membrane was blotted with Glutamine synthetase antibody [GT1055] (GTX630654) diluted at 1:5000.
- Submitted by
- GeneTex (provider)
- Main image

- Experimental details
- Rat tissue extract (50 ?g) was separated by 10% SDS-PAGE, and the membrane was blotted with Glutamine synthetase antibody [GT1055] (GTX630654) diluted at 1:5000.
- Submitted by
- GeneTex (provider)
- Main image

- Experimental details
- Mouse tissue extract (50 ?g) was separated by 10% SDS-PAGE, and the membrane was blotted with Glutamine synthetase antibody (GTX630654) diluted at 1:1000.
- Submitted by
- GeneTex (provider)
- Main image

- Experimental details
- Non-transfected (¡V) and transfected (+) 293T whole cell extracts (30 ?g) were separated by 10% SDS-PAGE, and the membrane was blotted with Glutamine synthetase antibody [GT1055] (GTX630654) diluted at 1:500.
Supportive validation
- Submitted by
- GeneTex (provider)
- Main image

- Experimental details
- Glutamine synthetase antibody [GT1055] detects Glutamine synthetase protein at cytoplasm by immunofluorescent analysis.Sample: Cultured rat E18 primary cortical neuron, DIV 8. Cells were fixed in 4% paraformaldehyde at RT for 15 min.Green: Glutamine synthetase protein stained by Glutamine synthetase antibody [GT1055] (GTX630654) diluted at 1:250.Red: GFAP, stained by GFAP antibody (GTX27260) diluted at 1:250.Blue: Fluoroshield with DAPI (GTX30920).
Supportive validation
- Submitted by
- GeneTex (provider)
- Main image

- Experimental details
- Glutamine synthetase antibody [GT1055] detects Glutamine synthetase protein at cytosol on mouse skin by immunohistochemical analysis. Sample: Paraffin-embedded mouse skin. Glutamine synthetase antibody [GT1055] (GTX630654) dilution: 1:500.
- Submitted by
- GeneTex (provider)
- Main image

- Experimental details
- Glutamine synthetase antibody [GT1055] detects Glutamine synthetase protein at cytosol on rat hind brain by immunohistochemical analysis. Sample: Paraffin-embedded rat hind brain. Glutamine synthetase antibody [GT1055] (GTX630654) dilution: 1:500.
- Submitted by
- GeneTex (provider)
- Main image

- Experimental details
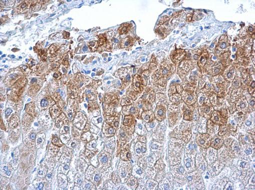
- Glutamine synthetase antibody [GT1055] detects Glutamine synthetase protein at cytosol on human hepatoma by immunohistochemical analysis. Sample: Paraffin-embedded human hepatoma. Glutamine synthetase antibody [GT1055] (GTX630654) dilution: 1:500.
- Submitted by
- GeneTex (provider)
- Main image

- Experimental details
- Glutamine synthetase antibody [GT1055] detects Glutamine synthetase protein on embryonic mouse brain by immunohistochemical analysis. Sample: Frozen section of embryonic mouse brain (mE18.5). Red: Glutamine synthetase antibody [GT1055] (GTX630654) diluted at 1:500. Blue: DAPI
- Submitted by
- GeneTex (provider)
- Main image

- Experimental details
- Glutamine synthetase antibody [GT1055] detects Glutamine synthetase protein by immunohistochemical analysis.Sample: Frozen sectioned adult mouse retina.Green: Glutamine synthetase protein stained by Glutamine synthetase antibody [GT1055] (GTX630654) diluted at 1:250. Red: PKC alpha protein stained by PKC alpha antibody [GT1876] (GTX130453) diluted at 1:250.Blue: Fluoroshield with DAPI (GTX30920).