Antibody data
- Antibody Data
- Antigen structure
- References [0]
- Comments [0]
- Validations
- Western blot [5]
- Immunohistochemistry [2]
Submit
Validation data
Reference
Comment
Report error
- Product number
- ARG55691 - Provider product page

- Provider
- Arigo
- Product name
- anti-Glutamine Synthetase antibody
- Antibody type
- Polyclonal
- Antigen
- KLH-conjugated synthetic peptide around aa. 70-96 (N-terminus) of Human Glutamine Synthetase.
- Description
- Purification with Protein A and immunogen peptide.
- Reactivity
- Human, Mouse, Rat
- Host
- Rabbit
- Isotype
- IgG
- Vial size
- 100 µl
- Storage
- For continuous use, store undiluted antibody at 2-8°C for up to a week. For long-term storage, aliquot and store at -20°C or below. Storage in frost free freezers is not recommended. Avoid repeated freeze/thaw cycles. Suggest spin the vial prior to opening.
- Handling
- The antibody solution should be gently mixed before use.
No comments: Submit comment
Supportive validation
- Submitted by
- Arigo (provider)
- Main image

- Experimental details
- Western blot: 35 µg of Mouse cerebellum tissue lysates stained with ARG55691 anti-Glutamine Synthetase antibody.
- Submitted by
- Arigo (provider)
- Main image

- Experimental details
- Western blot: 20 µg of HeLa, Jurkat, HT-29, MOLT-4 cell line (from left to right) stained with ARG55691 anti-Glutamine Synthetase antibody at 1:1000 dilution.
- Submitted by
- Arigo (provider)
- Main image

- Experimental details
- Western blot: 20 µg of HeLa, Raji, Jurkat, HT-29 cell line (from left to right) stained with ARG55691 anti-Glutamine Synthetase antibody at 1:2000 dilution.
- Submitted by
- Arigo (provider)
- Main image

- Experimental details
- Western blot: 20 µg of Jurkat, Raji, HT-29 cell line (from left to right) stained with ARG55691 anti-Glutamine Synthetase antibody at 1:1000 dilution.
- Submitted by
- Arigo (provider)
- Main image

- Experimental details
- Western blot: 20 µg of HeLa, HT-29, Jurkat cell line, Mouse brain, Mouse cerebellum, Rat cerebellum tissue lysate(from left to right) stained with ARG55691 anti-Glutamine Synthetase antibody at 1:1000 dilution.
Supportive validation
- Submitted by
- Arigo (provider)
- Main image

- Experimental details
- Immunohistochemistry: formalin-fixed and paraffin-embedded Human testis tissue stained with ARG55691 anti-Glutamine Synthetase antibody.
- Submitted by
- Arigo (provider)
- Main image

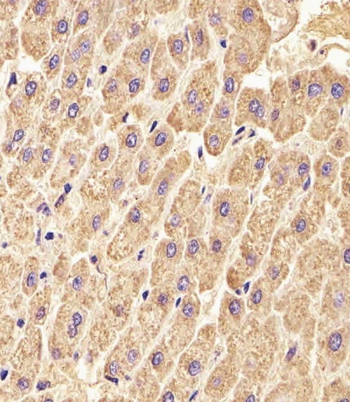
- Experimental details
- Immunohistochemistry: paraffin-embedded H. liver section stained with ARG55691 anti-Glutamine Synthetase antibody at 1:25 dilution.