Antibody data
- Antibody Data
- Antigen structure
- References [0]
- Comments [0]
- Validations
- Immunohistochemistry [1]
Submit
Validation data
Reference
Comment
Report error
- Product number
- M03191 - Provider product page

- Provider
- Boster Biological Technology
- Product name
- Anti-Glutamine Synthetase GLUL Rabbit Monoclonal Antibody
- Antibody type
- Monoclonal
- Description
- Monoclonal antibody for GLUTAMINE SYNTHETASE/GLUL detection. Host: Rabbit.Size: 100ug/vial. Tested applications: Flow Cytometry, IP, IHC, WB. Reactive species: Human, Mouse, Rat GLUTAMINE SYNTHETASE/GLUL information: Molecular Weight: 42064 MW; Subcellular Localization: Cytoplasm. Mitochondrion .
- Reactivity
- Human, Mouse, Rat
- Host
- Rabbit
- Antibody clone number
- CCH-7
- Vial size
- 100ug/vial
- Concentration
- 0.5-1mg/ml, actual concentration vary by lot. Use suggested dilution ratio to decide dilution procedure.
- Storage
- At -20°C for one year. Avoid repeated freezing and thawing.
No comments: Submit comment
Supportive validation
- Submitted by
- Boster Biological Technology (provider)
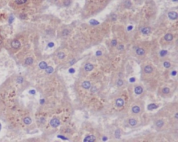
- Main image

- Experimental details
- Immunohistochemical analysis of paraffin-embedded human liver, using Glutamine Synthetase Antibody .
- Additional image
