Antibody data
- Antibody Data
- Antigen structure
- References [1]
- Comments [0]
- Validations
- Immunohistochemistry [2]
Submit
Validation data
Reference
Comment
Report error
- Product number
- NBP1-84384 - Provider product page

- Provider
- Novus Biologicals
- Proper citation
- Novus Cat#NBP1-84384, RRID:AB_11007522
- Product name
- Rabbit Polyclonal CRABP1 Antibody
- Antibody type
- Polyclonal
- Description
- Immunogen affinity purified. Specificity of human CRABP1 antibody verified on a Protein Array containing target protein plus 383 other non-specific proteins.
- Reactivity
- Human
- Host
- Rabbit
- Isotype
- IgG
- Vial size
- 0.1 ml
- Storage
- Store at 4C short term. Aliquot and store at -20C long term. Avoid freeze-thaw cycles.
Submitted references CRABP1 provides high malignancy of transformed mesenchymal cells and contributes to the pathogenesis of mesenchymal and neuroendocrine tumors.
Kainov Y, Favorskaya I, Delektorskaya V, Chemeris G, Komelkov A, Zhuravskaya A, Trukhanova L, Zueva E, Tavitian B, Dyakova N, Zborovskaya I, Tchevkina E
Cell cycle (Georgetown, Tex.) 2014;13(10):1530-9
Cell cycle (Georgetown, Tex.) 2014;13(10):1530-9
No comments: Submit comment
Supportive validation
- Submitted by
- Novus Biologicals (provider)
- Main image

- Experimental details
- Immunohistochemistry-Paraffin: CRABP1 Antibody [NBP1-84384] - Staining of human retina shows cytoplasmic positivity in cells in inner nuclear layer and nerve fibers.
- Submitted by
- Novus Biologicals (provider)
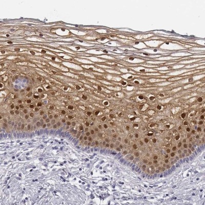
- Main image

- Experimental details
- Immunohistochemistry-Paraffin: CRABP1 Antibody [NBP1-84384] - Staining of human vagina shows cytoplasmic and nuclear positivity in squamous epithelial cells.