ARP42922_P050
antibody from Aviva Systems Biology
Targeting: GTPBP10
DKFZP686A10121, FLJ38242, OBGH2
Antibody data
- Antibody Data
- Antigen structure
- References [0]
- Comments [0]
- Validations
- Western blot [1]
- Immunohistochemistry [3]
Submit
Validation data
Reference
Comment
Report error
- Product number
- ARP42922_P050 - Provider product page

- Provider
- Aviva Systems Biology
- Proper citation
- Aviva Systems Biology Cat#ARP42922_P050, RRID:AB_2046148
- Product name
- GTPBP10 antibody - middle region (ARP42922_P050)
- Antibody type
- Polyclonal
- Antigen
- The immunogen is a synthetic peptide directed towards the middle region of human GTPBP10
- Description
- Affinity Purified
- Reactivity
- Human, Mouse, Rat, Bovine, Canine, Guinea Pig, Horse, Porcine, Rabbit, Zebrafish
- Host
- Rabbit
- Vial size
- 100 μl
- Concentration
- Liquid. Purified antibody supplied in 1x PBS buffer with 0.09% (w/v) sodium azide and 2% sucrose.
- Storage
- For short term use, store at 2-8C up to 1 week. For long term storage, store at -20C in small aliquots to prevent freeze-thaw cycles.
No comments: Submit comment
Supportive validation
- Submitted by
- Aviva Systems Biology (provider)
- Main image

- Experimental details
- Western blot analysis using Anti-GTPBP10 antibody detects protein at predicted molecular weight using 721_B Cells as a positive control. Tissue/Lysate Concentration: 1ug/ml Antibody Concentration: 1.0ug/ml
- Sample type
- 721_B Cells
- Validation comment
- Western blot analysis detects protein at predicted molecular weight
- Primary Ab dilution
- 1.0ug/ml
- Other comments
- Lysate concentration 1ug/ml
Supportive validation
- Submitted by
- Aviva Systems Biology (provider)
- Main image

- Experimental details
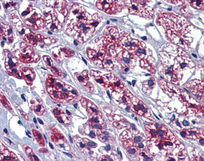
- Immunohistochemistry staining of Human Placenta with Anti-GTPBP10 antibody
- Sample type
- Human Placenta
- Validation comment
- This location is supported by literature
- Primary Ab dilution
- 4.0-8.7461
- Secondary Ab
- Secondary Ab
- Secondary Ab dilution
- 0.5ug/mL 0.2ug/mL
- Protocol
- Protocol
- Submitted by
- Aviva Systems Biology (provider)
- Main image

- Experimental details
- Immunohistochemistry staining of Human Placenta with Anti-GTPBP10 antibody
- Sample type
- Human Placenta
- Validation comment
- This location is supported by literature
- Primary Ab dilution
- 4.0-8.7462
- Secondary Ab
- Secondary Ab
- Secondary Ab dilution
- 0.5ug/mL 0.2ug/mL
- Protocol
- Protocol
- Submitted by
- Aviva Systems Biology (provider)
- Main image

- Experimental details
- Immunohistochemistry staining of Human Placenta with Anti-GTPBP10 antibody
- Sample type
- Human Placenta
- Validation comment
- This location is supported by literature
- Primary Ab dilution
- 4.0-8.7463
- Secondary Ab
- Secondary Ab
- Secondary Ab dilution
- 0.5ug/mL 0.2ug/mL
- Protocol
- Protocol