Antibody data
- Antibody Data
- Antigen structure
- References [1]
- Comments [0]
- Validations
- Western blot [1]
- Immunohistochemistry [11]
Submit
Validation data
Reference
Comment
Report error
- Product number
- NBP1-81026 - Provider product page

- Provider
- Novus Biologicals
- Proper citation
- Novus Cat#NBP1-81026, RRID:AB_11009568
- Product name
- Rabbit Polyclonal MS4A8B Antibody
- Antibody type
- Polyclonal
- Description
- Immunogen affinity purified. Specificity of human MS4A8B antibody verified on a Protein Array containing target protein plus 383 other non-specific proteins.
- Reactivity
- Human
- Host
- Rabbit
- Isotype
- IgG
- Vial size
- 0.1 ml
- Storage
- Store at 4C short term. Aliquot and store at -20C long term. Avoid freeze-thaw cycles.
Submitted references MS4A8B promotes cell proliferation in prostate cancer.
Ye L, Yao XD, Wan FN, Qu YY, Liu ZY, Shen XX, Li S, Liu XJ, Yue F, Wang N, Dai B, Ye DW
The Prostate 2014 Jun;74(9):911-22
The Prostate 2014 Jun;74(9):911-22
No comments: Submit comment
Supportive validation
- Submitted by
- Novus Biologicals (provider)
- Main image

- Experimental details
- Western Blot: MS4A8B Antibody [NBP1-81026] - Analysis in control (vector only transfected HEK293T lysate) and MS4A8 over-expression lysate (Co-expressed with a C-terminal myc-DDK tag (3.1 kDa) in mammalian HEK293T cells).
Supportive validation
- Submitted by
- Novus Biologicals (provider)
- Main image

- Experimental details
- Immunohistochemistry-Paraffin: MS4A8B Antibody [NBP1-81026] - Staining of human epididymis shows strong cytoplasmic positivity in glandular cells.
- Submitted by
- Novus Biologicals (provider)
- Main image

- Experimental details
- Immunohistochemistry-Paraffin: MS4A8B Antibody [NBP1-81026] - Staining of human fallopian tube, kidney, liver and lymph node using Anti-MS4A8 antibody NBP1-81026 (A) shows similar protein distribution across tissues to independent antibody NBP1-81025 (B).
- Submitted by
- Novus Biologicals (provider)
- Main image

- Experimental details
- Immunohistochemistry-Paraffin: MS4A8B Antibody [NBP1-81026] - Staining of human fallopian tube.
- Submitted by
- Novus Biologicals (provider)
- Main image

- Experimental details
- Immunohistochemistry-Paraffin: MS4A8B Antibody [NBP1-81026] - Staining of human kidney.
- Submitted by
- Novus Biologicals (provider)
- Main image

- Experimental details
- Immunohistochemistry-Paraffin: MS4A8B Antibody [NBP1-81026] - Staining of human liver.
- Submitted by
- Novus Biologicals (provider)
- Main image

- Experimental details
- Immunohistochemistry-Paraffin: MS4A8B Antibody [NBP1-81026] - Staining of human lymph node.
- Submitted by
- Novus Biologicals (provider)
- Main image

- Experimental details
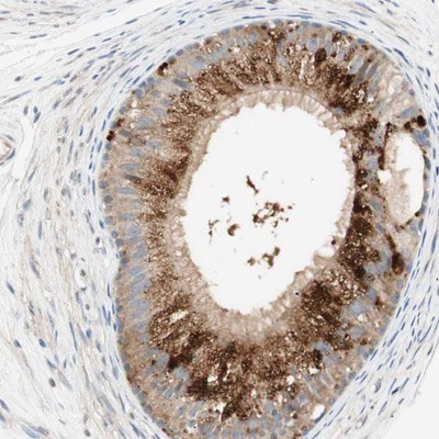
- Immunohistochemistry-Paraffin: MS4A8B Antibody [NBP1-81026] - Staining of human duodenum shows moderate positivity in apical membrane in glandular cells.
- Submitted by
- Novus Biologicals (provider)
- Main image

- Experimental details
- Immunohistochemistry-Paraffin: MS4A8B Antibody [NBP1-81026] - Staining of human duodenum, fallopian tube, kidney and prostate using Anti-MS4A8B antibody NBP1-81026 (A) shows similar protein distribution across tissues to independent antibody NBP1-81025 (B).
- Submitted by
- Novus Biologicals (provider)
- Main image

- Experimental details
- Immunohistochemistry-Paraffin: MS4A8B Antibody [NBP1-81026] - Staining of human kidney shows low positivity in cells in tubules as expected.
- Submitted by
- Novus Biologicals (provider)
- Main image

- Experimental details
- Immunohistochemistry-Paraffin: MS4A8B Antibody [NBP1-81026] - Staining of human Fallopian tube shows strong positivity in cilia in glandular cells.
- Submitted by
- Novus Biologicals (provider)
- Main image

- Experimental details
- Immunohistochemistry-Paraffin: MS4A8B Antibody [NBP1-81026] - Staining of human prostate shows low positivity in glandular cells as expected.