AF7388
antibody from R&D Systems
Targeting: PITX2
ARP1, Brx1, IGDS, IHG2, IRID2, Otlx2, RGS, RIEG, RIEG1, RS
Antibody data
- Antibody Data
- Antigen structure
- References [0]
- Comments [0]
- Validations
- Immunohistochemistry [1]
Submit
Validation data
Reference
Comment
Report error
- Product number
- AF7388 - Provider product page

- Provider
- R&D Systems
- Product name
- Human PITX2 Antibody
- Antibody type
- Polyclonal
- Description
- Antigen Affinity-purified. Detects human PITX2 in direct ELISAs. In direct ELISAs, less than 5% cross-reactivity with recombinant human PITX1 is observed.
- Reactivity
- Human
- Host
- Sheep
- Conjugate
- Unconjugated
- Antigen sequence
Q99697- Isotype
- IgG
- Vial size
- 100 ug
- Concentration
- LYOPH
- Storage
- Use a manual defrost freezer and avoid repeated freeze-thaw cycles. 12 months from date of receipt, -20 to -70 °C as supplied. 1 month, 2 to 8 °C under sterile conditions after reconstitution. 6 months, -20 to -70 °C under sterile conditions after reconstitution.
No comments: Submit comment
Supportive validation
- Submitted by
- R&D Systems (provider)
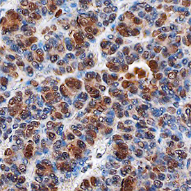
- Main image

- Experimental details
- PITX2 in Human Thyroid Cancer Tissue. PITX2 was detected in immersion fixed paraffin-embedded sections of human thyroid cancer tissue using Sheep Anti-Human PITX2 Antigen Affinity-purified Polyclonal Antibody (Catalog # AF7388) at 3 µg/mL overnight at 4 °C. Before incubation with the primary antibody, tissue was subjected to heat-induced epitope retrieval using Antigen Retrieval Reagent-Basic (Catalog # CTS013). Tissue was stained using the Anti-Sheep HRP-DAB Cell & Tissue Staining Kit (brown; Catalog # CTS019) and counter-stained with hematoxylin (blue). Specific staining was localized to nuclei. View our protocol for Chromogenic IHC Staining of Paraffin-embedded Tissue Sections.