LS-C289488
antibody from LSBio
Targeting: PRPF6
ANT-1, bB152O15.1, C20orf14, hPrp6, Prp6, RP60, SNRNP102, TOM, U5-102K
Antibody data
- Antibody Data
- Antigen structure
- References [0]
- Comments [0]
- Validations
- Immunohistochemistry [2]
Submit
Validation data
Reference
Comment
Report error
- Product number
- LS-C289488 - Provider product page

- Provider
- LSBio
- Product name
- PRPF6 / TOM Antibody (aa150-200) LS-C289488
- Antibody type
- Polyclonal
- Description
- Affinity purified
- Reactivity
- Human, Mouse
- Host
- Rabbit
- Isotype
- IgG
- Storage
- Store at 2-8°C for up to one year.
No comments: Submit comment
Supportive validation
- Submitted by
- LSBio (provider)
- Enhanced method
- Genetic validation
- Main image

- Experimental details
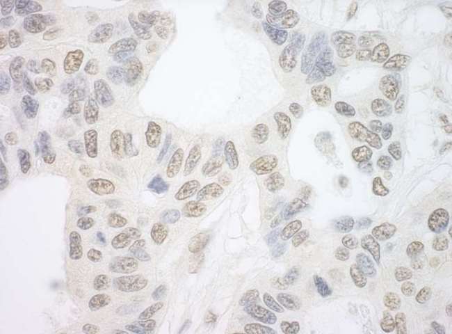
- Detection of Human PRP6 by Immunohistochemistry. Sample: FFPE section of human ovarian carcinoma. Antibody: Affinity purified rabbit anti-PRP6 used at a dilution of 1:1000 (0.2 Detection: DAB.
- Submitted by
- LSBio (provider)
- Enhanced method
- Genetic validation
- Main image

- Experimental details
- Detection of Human PRP6 by Immunohistochemistry. Sample: FFPE section of human ovarian carcinoma. Antibody: Affinity purified rabbit anti-PRP6 used at a dilution of 1:1000 (0.2 Detection: DAB.