Antibody data
- Antibody Data
 - Antigen structure
 - References [5]
 - Comments [0]
 - Validations
 - Western blot [1]
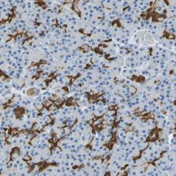
 - Immunohistochemistry [1]
 
Submit
Validation data
Reference
Comment
Report error
- Product number
 - sc-1930 - Provider product page

 - Provider
 - Santa Cruz Biotechnology
 - Proper citation
 - Santa Cruz Biotechnology Cat#sc-1930, RRID:AB_630869
 - Product name
 - Anti-ANXA4
 - Antibody type
 - Polyclonal (Antigen purified)
 - Antigen
 - Synthetic peptide
 - Reactivity
 - Human
 - Host
 - Goat
 
Submitted references		Differential effects of concomitant use of vitamins C and E on trophoblast apoptosis and autophagy between normoxia and hypoxia-reoxygenation.
				
Large-scale quantitative LC-MS/MS analysis of detergent-resistant membrane proteins from rat renal collecting duct.
				
High-throughput identification of IMCD proteins using LC-MS/MS.
				
Combined proteomics and pathways analysis of collecting duct reveals a protein regulatory network activated in vasopressin escape.
				
Prof. R. C. J. Howland
				
		
	
			Hung TH, Chen SF, Li MJ, Yeh YL, Hsieh TT
PloS one 2010 Aug 16;5(8):e12202
		PloS one 2010 Aug 16;5(8):e12202
Large-scale quantitative LC-MS/MS analysis of detergent-resistant membrane proteins from rat renal collecting duct.
			Yu MJ, Pisitkun T, Wang G, Aranda JF, Gonzales PA, Tchapyjnikov D, Shen RF, Alonso MA, Knepper MA
American journal of physiology. Cell physiology 2008 Sep;295(3):C661-78
		American journal of physiology. Cell physiology 2008 Sep;295(3):C661-78
High-throughput identification of IMCD proteins using LC-MS/MS.
			Pisitkun T, Bieniek J, Tchapyjnikov D, Wang G, Wu WW, Shen RF, Knepper MA
Physiological genomics 2006 Apr 13;25(2):263-76
		Physiological genomics 2006 Apr 13;25(2):263-76
Combined proteomics and pathways analysis of collecting duct reveals a protein regulatory network activated in vasopressin escape.
			Hoorn EJ, Hoffert JD, Knepper MA
Journal of the American Society of Nephrology : JASN 2005 Oct;16(10):2852-63
		Journal of the American Society of Nephrology : JASN 2005 Oct;16(10):2852-63
Prof. R. C. J. Howland
			L. N. G. F.
Nature 1936 Nov;138(3497):790-791
		Nature 1936 Nov;138(3497):790-791
				No comments: Submit comment	
	
			
							
					Supportive validation
					
									
				
				- Submitted by
 - per
 - Main image
 
- Experimental details
 - Western blot analysis of antibody specificity using a routine panel composed of IgG/HSA-depleted human plasma and protein lysates from selected human tissues and cell lines.
 - Validation comment
 - Band of predicted size in kDa (+/-20%) with additional bands present.
 - Primary Ab dilution
 - 1:500
 - Secondary Ab dilution
 - 1:2000
 - Lane 1
 - Marker [kDa]: 230, 110, 82, 49.3, 32.2, 25.5, 17.6
 - Lane 2
 - RT-4
 - Lane 3
 - U-251MG sp
 - Lane 4
 - Human Plasma
 - Lane 5
 - Liver
 - Lane 6
 - Tonsil
 - Theoretical target weight
 - [kDa] 36
 
							
					Supportive validation
					
									
				
		- Submitted by
 - per
 - Main image
 
- Experimental details
 - Immunohistochemical staining of human pancreas shows strong cytoplasmic positivity in intra-lobular ducts of exocrine pancreas.
 - Validation comment
 - Staining pattern consistent with experimental and/or bioinformatic data.