Antibody data
- Antibody Data
- Antigen structure
- References [1]
- Comments [0]
- Validations
- Western blot [1]
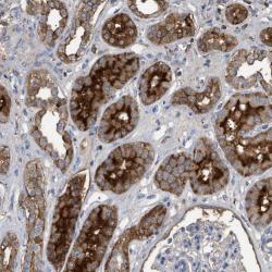
- Immunohistochemistry [1]
Submit
Validation data
Reference
Comment
Report error
- Product number
- sc-28827 - Provider product page

- Provider
- Santa Cruz Biotechnology
- Proper citation
- Santa Cruz Biotechnology Cat#sc-28827, RRID:AB_2227370
- Product name
- Anti-ANXA4
- Antibody type
- Polyclonal
- Antigen
- Recombinant full-length protein
- Reactivity
- Human
- Host
- Rabbit
Submitted references Membrane repair against H. pylori promotes cancer cell proliferation
Lin Li-Ling, Huang Hsuan-Cheng, Ogihara Satoshi, Wang Jin-Town, Chen Chiung-Nien, Juan Hsueh-Fen
2010 Sep;():-
2010 Sep;():-
No comments: Submit comment
Supportive validation
- Submitted by
- per
- Main image

- Experimental details
- Western blot analysis of antibody specificity using a routine panel composed of IgG/HSA-depleted human plasma and protein lysates from selected human tissues and cell lines.
- Validation comment
- Band of predicted size in kDa (+/-20%) with additional bands present.
- Primary Ab dilution
- 1:500
- Secondary Ab dilution
- 1:3000
- Lane 1
- Marker [kDa]: 250, 130, 95, 72, 55, 36, 28, 17, 11
- Lane 2
- RT-4
- Lane 3
- U-251MG sp
- Lane 4
- Human Plasma
- Lane 5
- Liver
- Lane 6
- Tonsil
- Theoretical target weight
- [kDa] 36
Supportive validation
- Submitted by
- per
- Main image

- Experimental details
- Immunohistochemical staining of human kidney shows strong cytoplasmic with an additional membranous positivity in tubular cells.
- Validation comment
- Staining pattern consistent with experimental and/or bioinformatic data.