Antibody data
- Antibody Data
- Antigen structure
- References [1]
- Comments [0]
- Validations
- Western blot [2]
- Immunohistochemistry [9]
Submit
Validation data
Reference
Comment
Report error
- Product number
- NBP1-82462 - Provider product page

- Provider
- Novus Biologicals
- Proper citation
- Novus Cat#NBP1-82462, RRID:AB_11027140
- Product name
- Rabbit Polyclonal OXCT1 Antibody
- Antibody type
- Polyclonal
- Description
- Immunogen affinity purified. Specificity of human OXCT1 antibody verified on a Protein Array containing target protein plus 383 other non-specific proteins.
- Reactivity
- Human, Mouse, Rat
- Host
- Rabbit
- Isotype
- IgG
- Vial size
- 0.1 ml
- Storage
- Store at 4C short term. Aliquot and store at -20C long term. Avoid freeze-thaw cycles.
Submitted references Ketolytic and glycolytic enzymatic expression profiles in malignant gliomas: implication for ketogenic diet therapy.
Chang HT, Olson LK, Schwartz KA
Nutrition & metabolism 2013 Jul 5;10(1):47
Nutrition & metabolism 2013 Jul 5;10(1):47
No comments: Submit comment
Supportive validation
- Submitted by
- Novus Biologicals (provider)
- Main image

- Experimental details
- Western Blot: OXCT1 Antibody [NBP1-82462] - Analysis in human cell lines HeLa and A-549. Corresponding RNA-seq data are presented for the same cell lines. Loading control: Anti-COX4I1.
- Submitted by
- Novus Biologicals (provider)
- Main image

- Experimental details
- Western Blot: OXCT1 Antibody [NBP1-82462] - Analysis in mouse cell line NIH-3T3 and rat cell line NBT-II.
Supportive validation
- Submitted by
- Novus Biologicals (provider)
- Main image

- Experimental details
- Immunohistochemistry-Paraffin: OXCT1 Antibody [NBP1-82462] - Staining of human heart muscle shows high expression.
- Submitted by
- Novus Biologicals (provider)
- Main image

- Experimental details
- Immunohistochemistry-Paraffin: OXCT1 Antibody [NBP1-82462] - Staining of human skeletal muscle shows low expression as expected.
- Submitted by
- Novus Biologicals (provider)
- Main image

- Experimental details
- Immunohistochemistry-Paraffin: OXCT1 Antibody [NBP1-82462] - Staining of human testis using Anti-OXCT1 antibody.
- Submitted by
- Novus Biologicals (provider)
- Main image

- Experimental details
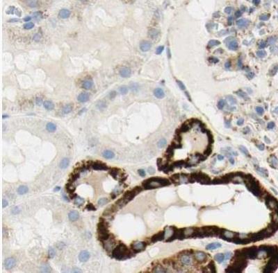
- Immunohistochemistry-Paraffin: OXCT1 Antibody [NBP1-82462] - Staining of human kidney using Anti-OXCT1 antibody.
- Submitted by
- Novus Biologicals (provider)
- Main image

- Experimental details
- Immunohistochemistry-Paraffin: OXCT1 Antibody [NBP1-82462] - Staining of human liver shows no positivity in hepatocytes as expected.
- Submitted by
- Novus Biologicals (provider)
- Main image

- Experimental details
- Immunohistochemistry-Paraffin: OXCT1 Antibody [NBP1-82462] - Analysis in human heart muscle and liver tissues. Corresponding OXCT1 RNA-seq data are presented for the same tissues.
- Submitted by
- Novus Biologicals (provider)
- Main image

- Experimental details
- Immunohistochemistry-Paraffin: OXCT1 Antibody [NBP1-82462] - Staining of human heart muscle, kidney, liver and testis using Anti-OXCT1 antibody NBP1-82462 (A) shows similar protein distribution across tissues to independent antibody NBP2-49331 (B).
- Submitted by
- Novus Biologicals (provider)
- Main image

- Experimental details
- Immunohistochemistry-Paraffin: OXCT1 Antibody [NBP1-82462] - Staining of human heart muscle shows strong cytoplasmic positivity in cardiomyocytes.
- Submitted by
- Novus Biologicals (provider)
- Main image

- Experimental details
- Immunohistochemistry-Paraffin: OXCT1 Antibody [NBP1-82462] - Staining of human kidney shows strong cytoplasmic positivity in cells in tubules.