Antibody data
- Antibody Data
- Antigen structure
- References [0]
- Comments [0]
- Validations
- Immunocytochemistry [3]
- Immunohistochemistry [4]
Submit
Validation data
Reference
Comment
Report error
- Product number
- PA5-53560 - Provider product page

- Provider
- Invitrogen Antibodies
- Product name
- CI091 Polyclonal Antibody
- Antibody type
- Polyclonal
- Antigen
- Recombinant protein fragment
- Description
- Immunogen sequence: SVIQLWFVYF DLENCVQFLS DHVQEMKTSQ ESLLRSRLSQ LCVVMETGVS PATAEGPENL EDAPLLPGNS CPNERPLMQT ELHQLVPEAE PEEMARQLLA VFGGYYIRLL VTSQ Highest antigen sequence identity to the following orthologs: Mouse - 88%, Rat - 87%.
- Reactivity
- Human
- Host
- Rabbit
- Isotype
- IgG
- Vial size
- 100 μL
- Concentration
- 0.4 mg/mL
- Storage
- Store at 4°C short term. For long term storage, store at -20°C, avoiding freeze/thaw cycles.
No comments: Submit comment
Supportive validation
- Submitted by
- Invitrogen Antibodies (provider)
- Main image

- Experimental details
- Immunofluorescent staining of CI091 in human cell line U-2 OS shows positivity in cytoplasm. Samples were probed using a CI091 Polyclonal Antibody (Product # PA5-53560).
- Submitted by
- Invitrogen Antibodies (provider)
- Main image

- Experimental details
- Immunofluorescent staining of CI091 in human cell line U-2 OS using a CI091 Polyclonal Antibody (Product # PA5-53560) shows localization to plasma membrane and cytosol.
- Submitted by
- Invitrogen Antibodies (provider)
- Main image

- Experimental details
- Immunofluorescent staining of CI091 in human cell line U-2 OS using a CI091 Polyclonal Antibody (Product # PA5-53560) shows localization to plasma membrane and cytosol.
Supportive validation
- Submitted by
- Invitrogen Antibodies (provider)
- Main image

- Experimental details
- Immunohistochemical analysis of CI091 in human cerebellum using CI091 Polyclonal Antibody (Product # PA5-53560) shows strong cytoplasmic and membranous positivity in Purkinje cells.
- Submitted by
- Invitrogen Antibodies (provider)
- Main image

- Experimental details
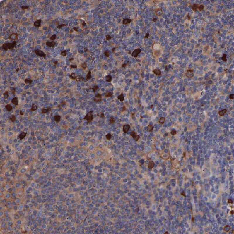
- Immunohistochemical analysis of CI091 in human lymph node using CI091 Polyclonal Antibody (Product # PA5-53560) shows strong cytoplasmic/ membranous positivity in a small subset of lymphoid cells.
- Submitted by
- Invitrogen Antibodies (provider)
- Main image

- Experimental details
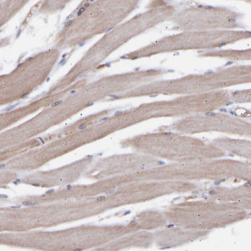
- Immunohistochemical analysis of CI091 in human skeletal muscle using CI091 Polyclonal Antibody (Product # PA5-53560) shows very weak positivity in myocytes as expected.
- Submitted by
- Invitrogen Antibodies (provider)
- Main image

- Experimental details
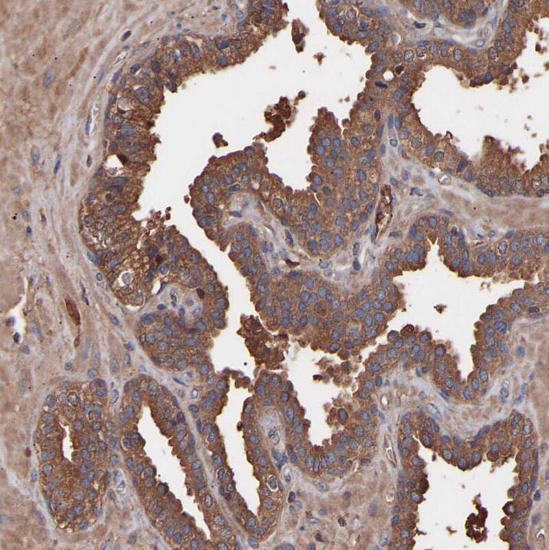
- Immunohistochemical analysis of CI091 in human prostate using CI091 Polyclonal Antibody (Product # PA5-53560) shows moderate cytoplasmic positivity in glandular cells.