Antibody data
- Antibody Data
- Antigen structure
- References [0]
- Comments [0]
- Validations
- Western blot [1]
- Immunoprecipitation [3]
- Immunohistochemistry [6]
Submit
Validation data
Reference
Comment
Report error
- Product number
- LS-C115100 - Provider product page

- Provider
- LSBio
- Product name
- LIPG / Endothelial Lipase Antibody (clone OTI3C4) LS-C115100
- Antibody type
- Monoclonal
- Description
- Protein A/G purified
- Reactivity
- Human
- Host
- Mouse
- Isotype
- IgG
- Antibody clone number
- OTI3C4
- Storage
- Store at -20°C. Avoid freeze-thaw cycles.
No comments: Submit comment
Enhanced validation
- Submitted by
- LSBio (provider)
- Enhanced method
- Genetic validation
- Main image

- Experimental details
- HEK293T cells were transfected with the pCMV6-ENTRY control (Left lane) or pCMV6-ENTRY LIPG (Right lane) cDNA for 48 hrs and lysed. Equivalent amounts of cell lysates (5 ug per lane) were separated by SDS-PAGE and immunoblotted with anti-LIPG.
Supportive validation
- Submitted by
- LSBio (provider)
- Enhanced method
- Genetic validation
- Main image

- Experimental details
- Immunoprecipitation(IP) of LIPG by using monoclonal anti-LIPG antibodies (Negative control: IP without adding anti-LIPG antibody.). For each experiment, 500ul of DDK tagged LIPG overexpression lysates (at 1:5 dilution with HEK293T lysate), 2 ug of anti-LIPG antibody and 20ul (0.1 mg) of goat anti-mouse conjugated magnetic beads were mixed and incubated overnight. After extensive wash to remove any non-specific binding, the immuno-precipitated products were analyzed with rabbit anti-DDK polyclonal antibody.
- Submitted by
- LSBio (provider)
- Main image

- Experimental details
- Immunoprecipitation(IP) of LIPG by using monoclonal anti-LIPG antibodies (Negative control: IP without adding anti-LIPG antibody.). For each experiment, 500ul of DDK tagged LIPG overexpression lysates (at 1:5 dilution with HEK293T lysate), 2 ug of anti-LIPG antibody and 20ul (0.1 mg) of goat anti-mouse conjugated magnetic beads were mixed and incubated overnight. After extensive wash to remove any non-specific binding, the immuno-precipitated products were analyzed with rabbit anti-DDK polyclonal antibody.
- Submitted by
- LSBio (provider)
- Main image

- Experimental details
- Immunoprecipitation(IP) of LIPG by using monoclonal anti-LIPG antibodies (Negative control: IP without adding anti-LIPG antibody.). For each experiment, 500ul of DDK tagged LIPG overexpression lysates (at 1:5 dilution with HEK293T lysate), 2 ug of anti-LIPG antibody and 20ul (0.1 mg) of goat anti-mouse conjugated magnetic beads were mixed and incubated overnight. After extensive wash to remove any non-specific binding, the immuno-precipitated products were analyzed with rabbit anti-DDK polyclonal antibody.
Supportive validation
- Submitted by
- LSBio (provider)
- Enhanced method
- Genetic validation
- Main image

- Experimental details
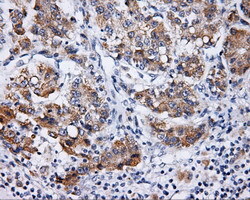
- IHC of paraffin-embedded Carcinoma of prostate tissue using anti-LIPG mouse monoclonal antibody. (Dilution 1:50).
- Submitted by
- LSBio (provider)
- Enhanced method
- Genetic validation
- Main image

- Experimental details
- IHC of paraffin-embedded Carcinoma of liver tissue using anti-LIPG mouse monoclonal antibody. (Dilution 1:50).
- Submitted by
- LSBio (provider)
- Enhanced method
- Genetic validation
- Main image

- Experimental details
- IHC of paraffin-embedded Carcinoma of liver tissue using anti-LIPG mouse monoclonal antibody. (Dilution 1:50).
- Submitted by
- LSBio (provider)
- Enhanced method
- Genetic validation
- Main image

- Experimental details
- IHC of paraffin-embedded Kidney tissue using anti-LIPG mouse monoclonal antibody. (Dilution 1:50).
- Submitted by
- LSBio (provider)
- Main image

- Experimental details
- IHC of paraffin-embedded Kidney tissue using anti-LIPG mouse monoclonal antibody. (Dilution 1:50).
- Submitted by
- LSBio (provider)
- Main image

- Experimental details
- IHC of paraffin-embedded Carcinoma of liver tissue using anti-LIPG mouse monoclonal antibody. (Dilution 1:50).