Antibody data
- Antibody Data
- Antigen structure
- References [0]
- Comments [0]
- Validations
- Western blot [1]
- Immunocytochemistry [1]
- Immunohistochemistry [7]
- Flow cytometry [3]
Submit
Validation data
Reference
Comment
Report error
- Product number
- GTX84191 - Provider product page

- Provider
- GeneTex
- Proper citation
- GeneTex Cat#GTX84191, RRID:AB_10729668
- Product name
- Endothelial Lipase / LIPG antibody [4A8]
- Antibody type
- Monoclonal
- Reactivity
- Human, Mouse, Simian
- Host
- Mouse
No comments: Submit comment
Supportive validation
- Submitted by
- GeneTex (provider)
- Main image

- Experimental details
- HEK293T cells were transfected with the pCMV6-ENTRY control (Left lane) or pCMV6-ENTRY LIPG (Right lane) cDNA for 48 hrs and lysed. Equivalent amounts of cell lysates (5 ug per lane) were separated by SDS-PAGE and immunoblotted with anti-LIPG.
Supportive validation
- Submitted by
- GeneTex (provider)
- Main image

- Experimental details
- Anti-LIPG mouse monoclonal antibody (GTX84191) immunofluorescent staining of COS7 cells transiently transfected by pCMV6-ENTRY LIPG
Supportive validation
- Submitted by
- GeneTex (provider)
- Main image

- Experimental details
- Immunohistochemical staining of paraffin-embedded adenocarcinoma of human colon tissue using anti-LIPG mouse monoclonal antibody. (GTX84191)
- Submitted by
- GeneTex (provider)
- Main image

- Experimental details
- Immunohistochemical staining of paraffin-embedded human liver tissue using anti-LIPG mouse monoclonal antibody. (GTX84191)
- Submitted by
- GeneTex (provider)
- Main image

- Experimental details
- Immunohistochemical staining of paraffin-embedded carcinoma of human liver tissue using anti-LIPG mouse monoclonal antibody. (GTX84191)
- Submitted by
- GeneTex (provider)
- Main image

- Experimental details
- Immunohistochemical staining of paraffin-embedded adenocarcinoma of human ovary tissue using anti-LIPG mouse monoclonal antibody. (GTX84191)
- Submitted by
- GeneTex (provider)
- Main image

- Experimental details
- Immunohistochemical staining of paraffin-embedded human pancreas tissue using anti-LIPG mouse monoclonal antibody. (GTX84191)
- Submitted by
- GeneTex (provider)
- Main image

- Experimental details
- Immunohistochemical staining of paraffin-embedded human prostate tissue using anti-LIPG mouse monoclonal antibody. (GTX84191)
- Submitted by
- GeneTex (provider)
- Main image

- Experimental details
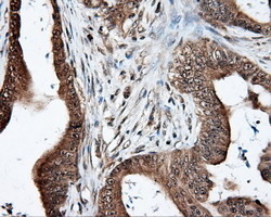
- Immunohistochemical staining of paraffin-embedded carcinoma of human prostate tissue using anti-LIPG mouse monoclonal antibody. (GTX84191)
Supportive validation
- Submitted by
- GeneTex (provider)
- Main image

- Experimental details
- HEK293T cells transfected with either LIPG overexpress plasmid (Red) or empty vector control plasmid (Blue) were immunostained by anti-LIPG antibody (GTX84191), and then analyzed by flow cytometry.
- Submitted by
- GeneTex (provider)
- Main image

- Experimental details
- Flow cytometric analysis of Hela cells, using anti-LIPG antibody (GTX84191), (Red), compared to a nonspecific negative control antibody, (Blue).
- Submitted by
- GeneTex (provider)
- Main image

- Experimental details
- Flow cytometric analysis of Jurkat cells, using anti-LIPG antibody (GTX84191), (Red), compared to a nonspecific negative control antibody, (Blue).