Antibody data
- Antibody Data
- Antigen structure
- References [31]
- Comments [0]
- Validations
- Immunohistochemistry [2]
Submit
Validation data
Reference
Comment
Report error
- Product number
- AF321 - Provider product page

- Provider
- Novus Biologicals
- Product name
- Goat Polyclonal VEGFR1/Flt-1 Antibody
- Antibody type
- Polyclonal
- Description
- Antigen Affinity-purified. Detects human VEGFR1/Flt-1 in direct ELISAs and Western blots. In direct ELISAs, this antibody shows approximately 20% cross-reactivity with recombinant mouse VEGFR1 and less than 10% cross-reactivity with recombinant human (rh) VEGFR2 and rhVEGFR3.
- Reactivity
- Human
- Host
- Goat
- Conjugate
- Unconjugated
- Isotype
- IgG
- Vial size
- 100 ug
- Concentration
- LYOPH
- Storage
- Use a manual defrost freezer and avoid repeated freeze-thaw cycles. 12 months from date of receipt, -20 to -70 degreesC as supplied. 1 month, 2 to 8 degreesC under sterile conditions after reconstitution. 6 months, -20 to -70 degreesC under sterile conditions after reconstitution.
Submitted references MMP14-Containing Exosomes Cleave VEGFR1 and Promote VEGFA-Induced Migration and Proliferation of Vascular Endothelial Cells.
Soluble fms-Like Tyrosine Kinase 1 Localization in Renal Biopsies of CKD.
Intravitreal Injection of AAV Expressing Soluble VEGF Receptor-1 Variant Induces Anti-VEGF Activity and Suppresses Choroidal Neovascularization.
VEGF vascularization pathway in human intervertebral disc does not change during the disc degeneration process.
Villous explants from preeclamptic placentas induce sFlt1 in PBMCs: An ex vivo co-culture study.
Ferrochelatase is a therapeutic target for ocular neovascularization.
Placental soluble fms-like tyrosine kinase expression in small for gestational age infants and risk for adverse outcomes.
Analysis of angiogenesis related factors in glioblastoma, peritumoral tissue and their derived cancer stem cells.
Hypoxia Differentially Regulates Arterial and Venous Smooth Muscle Cell Migration.
The effect of vascular endothelial growth factor on osteoclastogenesis in rheumatoid arthritis.
Full-length human placental sFlt-1-e15a isoform induces distinct maternal phenotypes of preeclampsia in mice.
Elastase induces lung epithelial cell autophagy through placental growth factor: a new insight of emphysema pathogenesis.
Merkel cell carcinoma expresses vasculogenic mimicry: demonstration in patients and experimental manipulation in xenografts.
Sustained delivery of VEGF maintains innervation and promotes reperfusion in ischemic skeletal muscles via NGF/GDNF signaling.
Melanoma spheroid formation involves laminin-associated vasculogenic mimicry.
Attenuation of VEGFR-2 expression by sFlt-1 and low oxygen in human placenta.
Pancreatic-carcinoma-cell-derived pro-angiogenic factors can induce endothelial-cell differentiation of a subset of circulating CD34+ progenitors.
Differential expression of Vegfr-2 and its soluble form in preeclampsia.
Glyceryl trinitrate inhibits hypoxia-induced release of soluble fms-like tyrosine kinase-1 and endoglin from placental tissues.
γ-Secretase and presenilin mediate cleavage and phosphorylation of vascular endothelial growth factor receptor-1.
Vascular endothelial growth factor as an autocrine survival factor for retinal pigment epithelial cells under oxidative stress via the VEGF-R2/PI3K/Akt.
Vascular endothelial growth factor drives autocrine epithelial cell proliferation and survival in chronic rhinosinusitis with nasal polyposis.
Vascular endothelial growth factor can signal through platelet-derived growth factor receptors.
Placenta growth factor in diabetic wound healing: altered expression and therapeutic potential.
Antagonists to human and mouse vascular endothelial growth factor receptor 2 generated by directed protein evolution in vitro.
Skeletal site-specific characterization of orofacial and iliac crest human bone marrow stromal cells in same individuals.
Activation of hypoxia-inducible factors in hyperoxia through prolyl 4-hydroxylase blockade in cells and explants of primate lung.
PEDF derived from glial Müller cells: a possible regulator of retinal angiogenesis.
All three receptors for vascular endothelial growth factor (VEGF) are expressed on B-chronic lymphocytic leukemia (CLL) cells.
All three receptors for vascular endothelial growth factor (VEGF) are expressed on B-chronic lymphocytic leukemia (CLL) cells.
Proangiogenic properties of human myeloma cells: production of angiopoietin-1 and its potential relationship to myeloma-induced angiogenesis.
Han KY, Chang JH, Azar DT
Investigative ophthalmology & visual science 2019 May 1;60(6):2321-2329
Investigative ophthalmology & visual science 2019 May 1;60(6):2321-2329
Soluble fms-Like Tyrosine Kinase 1 Localization in Renal Biopsies of CKD.
Zsengellér ZK, Lo A, Tavasoli M, Pernicone E, Karumanchi SA, Rosen S
Kidney international reports 2019 Dec;4(12):1735-1741
Kidney international reports 2019 Dec;4(12):1735-1741
Intravitreal Injection of AAV Expressing Soluble VEGF Receptor-1 Variant Induces Anti-VEGF Activity and Suppresses Choroidal Neovascularization.
Lee SHS, Kim HJ, Shin OK, Choi JS, Kim J, Cho YH, Ha J, Park TK, Lee JY, Park K, Lee H
Investigative ophthalmology & visual science 2018 Nov 1;59(13):5398-5407
Investigative ophthalmology & visual science 2018 Nov 1;59(13):5398-5407
VEGF vascularization pathway in human intervertebral disc does not change during the disc degeneration process.
Capossela S, Bertolo A, Gunasekera K, Pötzel T, Baur M, Stoyanov JV
BMC research notes 2018 May 22;11(1):333
BMC research notes 2018 May 22;11(1):333
Villous explants from preeclamptic placentas induce sFlt1 in PBMCs: An ex vivo co-culture study.
Gonzales SK, Badell M, Cottrell H, Rimawi B, Deepak V, Sidell N, Rajakumar A
Pregnancy hypertension 2018 Apr;12:40-46
Pregnancy hypertension 2018 Apr;12:40-46
Ferrochelatase is a therapeutic target for ocular neovascularization.
Basavarajappa HD, Sulaiman RS, Qi X, Shetty T, Sheik Pran Babu S, Sishtla KL, Lee B, Quigley J, Alkhairy S, Briggs CM, Gupta K, Tang B, Shadmand M, Grant MB, Boulton ME, Seo SY, Corson TW
EMBO molecular medicine 2017 Jun;9(6):786-801
EMBO molecular medicine 2017 Jun;9(6):786-801
Placental soluble fms-like tyrosine kinase expression in small for gestational age infants and risk for adverse outcomes.
Spiel M, Salahuddin S, Pernicone E, Zsengeller Z, Wang A, Modest AM, Karumanchi SA, Hecht JL
Placenta 2017 Apr;52:10-16
Placenta 2017 Apr;52:10-16
Analysis of angiogenesis related factors in glioblastoma, peritumoral tissue and their derived cancer stem cells.
D'Alessio A, Proietti G, Lama G, Biamonte F, Lauriola L, Moscato U, Vescovi A, Mangiola A, Angelucci C, Sica G
Oncotarget 2016 Nov 29;7(48):78541-78556
Oncotarget 2016 Nov 29;7(48):78541-78556
Hypoxia Differentially Regulates Arterial and Venous Smooth Muscle Cell Migration.
Chanakira A, Kir D, Barke RA, Santilli SM, Ramakrishnan S, Roy S
PloS one 2015;10(9):e0138587
PloS one 2015;10(9):e0138587
The effect of vascular endothelial growth factor on osteoclastogenesis in rheumatoid arthritis.
Kim HR, Kim KW, Kim BM, Cho ML, Lee SH
PloS one 2015;10(4):e0124909
PloS one 2015;10(4):e0124909
Full-length human placental sFlt-1-e15a isoform induces distinct maternal phenotypes of preeclampsia in mice.
Szalai G, Romero R, Chaiworapongsa T, Xu Y, Wang B, Ahn H, Xu Z, Chiang PJ, Sundell B, Wang R, Jiang Y, Plazyo O, Olive M, Tarca AL, Dong Z, Qureshi F, Papp Z, Hassan SS, Hernandez-Andrade E, Than NG
PloS one 2015;10(4):e0119547
PloS one 2015;10(4):e0119547
Elastase induces lung epithelial cell autophagy through placental growth factor: a new insight of emphysema pathogenesis.
Hou HH, Cheng SL, Chung KP, Kuo MY, Yeh CC, Chang BE, Lu HH, Wang HC, Yu CJ
Autophagy 2014 Sep;10(9):1509-21
Autophagy 2014 Sep;10(9):1509-21
Merkel cell carcinoma expresses vasculogenic mimicry: demonstration in patients and experimental manipulation in xenografts.
Lezcano C, Kleffel S, Lee N, Larson AR, Zhan Q, DoRosario A, Wang LC, Schatton T, Murphy GF
Laboratory investigation; a journal of technical methods and pathology 2014 Oct;94(10):1092-102
Laboratory investigation; a journal of technical methods and pathology 2014 Oct;94(10):1092-102
Sustained delivery of VEGF maintains innervation and promotes reperfusion in ischemic skeletal muscles via NGF/GDNF signaling.
Shvartsman D, Storrie-White H, Lee K, Kearney C, Brudno Y, Ho N, Cezar C, McCann C, Anderson E, Koullias J, Tapia JC, Vandenburgh H, Lichtman JW, Mooney DJ
Molecular therapy : the journal of the American Society of Gene Therapy 2014 Jul;22(7):1243-1253
Molecular therapy : the journal of the American Society of Gene Therapy 2014 Jul;22(7):1243-1253
Melanoma spheroid formation involves laminin-associated vasculogenic mimicry.
Larson AR, Lee CW, Lezcano C, Zhan Q, Huang J, Fischer AH, Murphy GF
The American journal of pathology 2014 Jan;184(1):71-8
The American journal of pathology 2014 Jan;184(1):71-8
Attenuation of VEGFR-2 expression by sFlt-1 and low oxygen in human placenta.
Nevo O, Lee DK, Caniggia I
PloS one 2013;8(11):e81176
PloS one 2013;8(11):e81176
Pancreatic-carcinoma-cell-derived pro-angiogenic factors can induce endothelial-cell differentiation of a subset of circulating CD34+ progenitors.
Vizio B, Biasi F, Scirelli T, Novarino A, Prati A, Ciuffreda L, Montrucchio G, Poli G, Bellone G
Journal of translational medicine 2013 Dec 17;11:314
Journal of translational medicine 2013 Dec 17;11:314
Differential expression of Vegfr-2 and its soluble form in preeclampsia.
Munaut C, Lorquet S, Pequeux C, Coulon C, Le Goarant J, Chantraine F, Noël A, Goffin F, Tsatsaris V, Subtil D, Foidart JM
PloS one 2012;7(3):e33475
PloS one 2012;7(3):e33475
Glyceryl trinitrate inhibits hypoxia-induced release of soluble fms-like tyrosine kinase-1 and endoglin from placental tissues.
Barsoum IB, Renaud SJ, Graham CH
The American journal of pathology 2011 Jun;178(6):2888-96
The American journal of pathology 2011 Jun;178(6):2888-96
γ-Secretase and presenilin mediate cleavage and phosphorylation of vascular endothelial growth factor receptor-1.
Cai J, Chen Z, Ruan Q, Han S, Liu L, Qi X, Boye SL, Hauswirth WW, Grant MB, Boulton ME
The Journal of biological chemistry 2011 Dec 9;286(49):42514-23
The Journal of biological chemistry 2011 Dec 9;286(49):42514-23
Vascular endothelial growth factor as an autocrine survival factor for retinal pigment epithelial cells under oxidative stress via the VEGF-R2/PI3K/Akt.
Byeon SH, Lee SC, Choi SH, Lee HK, Lee JH, Chu YK, Kwon OW
Investigative ophthalmology & visual science 2010 Feb;51(2):1190-7
Investigative ophthalmology & visual science 2010 Feb;51(2):1190-7
Vascular endothelial growth factor drives autocrine epithelial cell proliferation and survival in chronic rhinosinusitis with nasal polyposis.
Lee HS, Myers A, Kim J
American journal of respiratory and critical care medicine 2009 Dec 1;180(11):1056-67
American journal of respiratory and critical care medicine 2009 Dec 1;180(11):1056-67
Vascular endothelial growth factor can signal through platelet-derived growth factor receptors.
Ball SG, Shuttleworth CA, Kielty CM
The Journal of cell biology 2007 May 7;177(3):489-500
The Journal of cell biology 2007 May 7;177(3):489-500
Placenta growth factor in diabetic wound healing: altered expression and therapeutic potential.
Cianfarani F, Zambruno G, Brogelli L, Sera F, Lacal PM, Pesce M, Capogrossi MC, Failla CM, Napolitano M, Odorisio T
The American journal of pathology 2006 Oct;169(4):1167-82
The American journal of pathology 2006 Oct;169(4):1167-82
Antagonists to human and mouse vascular endothelial growth factor receptor 2 generated by directed protein evolution in vitro.
Getmanova EV, Chen Y, Bloom L, Gokemeijer J, Shamah S, Warikoo V, Wang J, Ling V, Sun L
Chemistry & biology 2006 May;13(5):549-56
Chemistry & biology 2006 May;13(5):549-56
Skeletal site-specific characterization of orofacial and iliac crest human bone marrow stromal cells in same individuals.
Akintoye SO, Lam T, Shi S, Brahim J, Collins MT, Robey PG
Bone 2006 Jun;38(6):758-68
Bone 2006 Jun;38(6):758-68
Activation of hypoxia-inducible factors in hyperoxia through prolyl 4-hydroxylase blockade in cells and explants of primate lung.
Asikainen TM, Schneider BK, Waleh NS, Clyman RI, Ho WB, Flippin LA, Günzler V, White CW
Proceedings of the National Academy of Sciences of the United States of America 2005 Jul 19;102(29):10212-7
Proceedings of the National Academy of Sciences of the United States of America 2005 Jul 19;102(29):10212-7
PEDF derived from glial Müller cells: a possible regulator of retinal angiogenesis.
Eichler W, Yafai Y, Keller T, Wiedemann P, Reichenbach A
Experimental cell research 2004 Sep 10;299(1):68-78
Experimental cell research 2004 Sep 10;299(1):68-78
All three receptors for vascular endothelial growth factor (VEGF) are expressed on B-chronic lymphocytic leukemia (CLL) cells.
Bairey O, Boycov O, Kaganovsky E, Zimra Y, Shaklai M, Rabizadeh E
Leukemia research 2004 Mar;28(3):243-8
Leukemia research 2004 Mar;28(3):243-8
All three receptors for vascular endothelial growth factor (VEGF) are expressed on B-chronic lymphocytic leukemia (CLL) cells.
Bairey O, Boycov O, Kaganovsky E, Zimra Y, Shaklai M, Rabizadeh E
Leukemia research 2004 Mar;28(3):243-8
Leukemia research 2004 Mar;28(3):243-8
Proangiogenic properties of human myeloma cells: production of angiopoietin-1 and its potential relationship to myeloma-induced angiogenesis.
Giuliani N, Colla S, Lazzaretti M, Sala R, Roti G, Mancini C, Bonomini S, Lunghi P, Hojden M, Genestreti G, Svaldi M, Coser P, Fattori PP, Sammarelli G, Gazzola GC, Bataille R, Almici C, Caramatti C, Mangoni L, Rizzoli V
Blood 2003 Jul 15;102(2):638-45
Blood 2003 Jul 15;102(2):638-45
No comments: Submit comment
Supportive validation
- Submitted by
- Novus Biologicals (provider)
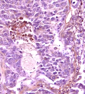
- Main image

- Experimental details
- VEGF R1/Flt-1 in Human Ovarian Cancer Tissue. VEGF R1/Flt-1 was detected in immersion fixed paraffin-embedded sections of human ovarian cancer tissue using Human VEGF R1/Flt-1 Antigen Affinity-purified Polyclonal Antibody (Catalog # AF321) at 3 µg/mL overnight at 4 °C. Tissue was stained using the Anti-Goat HRP-DAB Cell & Tissue Staining Kit (brown; Catalog # CTS008) and counterstained with hematoxylin (blue). View our protocol for Chromogenic IHC Staining of Paraffin-embedded Tissue Sections.
- Submitted by
- Novus Biologicals (provider)
- Main image

- Experimental details
- VEGF R1/Flt-1 in Human Breast Cancer Tissue. VEGF R1/Flt-1 was detected in immersion fixed paraffin-embedded sections of human breast cancer tissue using 15 µg/mL Human VEGF R1/Flt-1 Antigen Affinity-purified Polyclonal Antibody (Catalog # AF321) overnight at 4 °C. Tissue was stained (red) and counterstained with hematoxylin (blue). View our protocol for Chromogenic IHC Staining of Paraffin-embedded Tissue Sections.