Antibody data
- Antibody Data
- Antigen structure
- References [0]
- Comments [0]
- Validations
- Western blot [2]
- Immunocytochemistry [2]
- Immunohistochemistry [4]
Submit
Validation data
Reference
Comment
Report error
- Product number
- LS-C313208 - Provider product page

- Provider
- LSBio
- Product name
- CCN4 / WISP1 Antibody (aa354-367) LS-C313208
- Antibody type
- Polyclonal
- Description
- Immunogen affinity purified
- Reactivity
- Human, Horse, Rabbit, Simian
- Host
- Rabbit
- Storage
- At -20°C for 1 year. After reconstitution, at 4°C for 1 month. It can also be aliquotted and stored frozen at -20°C for a longer time. Avoid freeze-thaw cycles.
No comments: Submit comment
Enhanced validation
- Submitted by
- LSBio (provider)
- Enhanced method
- Genetic validation
- Main image

- Experimental details
- WB of CCN4 / WISP1 antibody. Lane 1: Rat Heart Tissue Lysate. Lane 2: Rat Kidney Tissue Lysate. Lane 3: Rat Lung Tissue Lysate. Lane 4: A549 Cell Lysate. Lane 5: A431 Cell Lysate. Lane 6: COLO320 Cell Lysate..
- Submitted by
- LSBio (provider)
- Enhanced method
- Genetic validation
- Main image

- Experimental details
- Anti-WISP1 antibody, Western blotting All lanes: Anti WISP1 at 0.5ug/ml Lane 1: Rat Heart Tissue Lysate at 50ugLane 2: Rat Kidney Tissue Lysate at 50ugLane 3: Rat Lung Tissue Lysate at 50ugLane 4: A549 Whole Cell Lysate at 40ugLane 5: A431 Whole Cell Lysate at 40ugLane 6: COLO320 Whole Cell Lysate at 40ugPredicted bind size: 40KD Observed bind size: 40KD
Supportive validation
- Submitted by
- LSBio (provider)
- Enhanced method
- Genetic validation
- Main image

- Experimental details
- CCN4 / WISP1 antibody. ICC: MCF-7 Cell.
- Submitted by
- LSBio (provider)
- Main image

- Experimental details
- CCN4 / WISP1 antibody. ICC: MCF-7 Cell.
Supportive validation
- Submitted by
- LSBio (provider)
- Enhanced method
- Genetic validation
- Main image

- Experimental details
- CCN4 / WISP1 antibody. IHC(P): Rat Kidney Tissue.
- Submitted by
- LSBio (provider)
- Enhanced method
- Genetic validation
- Main image

- Experimental details
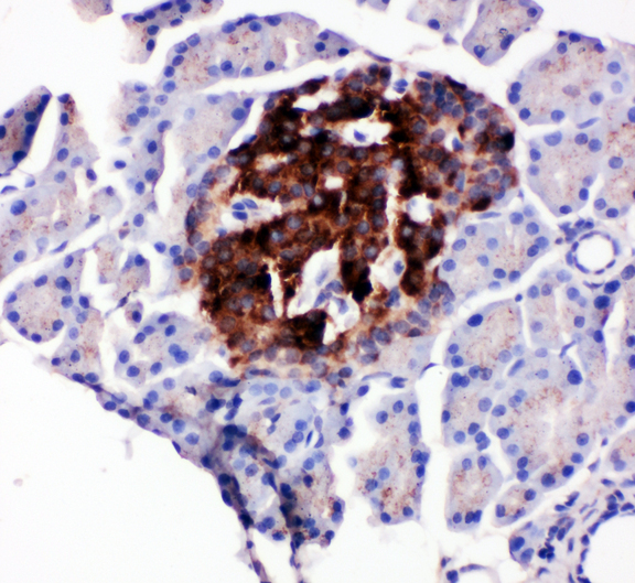
- CCN4 / WISP1 antibody. IHC(P): Rat Pancreas Tissue.
- Submitted by
- LSBio (provider)
- Enhanced method
- Genetic validation
- Main image

- Experimental details
- CCN4 / WISP1 antibody. IHC(P): Human Placenta Tissue.
- Submitted by
- LSBio (provider)
- Enhanced method
- Genetic validation
- Main image

- Experimental details
- IHC analysis of WISP1 using anti-WISP1 antibody. WISP1 was detected in frozen section of rat cardiac muscle tissues. Heat mediated antigen retrieval was performed in citrate buffer (pH6, epitope retrieval solution) for 20 mins. The tissue section was blocked with 10% goat serum. The tissue section was then incubated with 1µg/ml rabbit anti-WISP1 Antibody overnight at 4°C. Biotinylated goat anti-rabbit IgG was used as secondary antibody and incubated for 30 minutes at 37°C. The tissue section was developed using Strepavidin-Biotin-Complex (SABC) with DAB as the chromogen.