Antibody data
- Antibody Data
- Antigen structure
- References [1]
- Comments [0]
- Validations
- Immunohistochemistry [1]
Submit
Validation data
Reference
Comment
Report error
- Product number
- AF1627 - Provider product page

- Provider
- R&D Systems
- Product name
- Human WISP-1/CCN4 Antibody
- Antibody type
- Polyclonal
- Description
- Immunogen affinity purified. Detects human WISP-1/CCN4 in direct ELISAs and Western blots. In direct ELISAs and Western blots, approximately 50% cross-reactivity with recombinant mouse WISP-1 is observed and less than 1% cross-reactivity with recombiant human (rh) CTGF and rhNOV is observed.
- Reactivity
- Human
- Host
- Goat
- Conjugate
- Unconjugated
- Antigen sequence
O95388- Isotype
- IgG
- Vial size
- 100 ug
- Concentration
- LYOPH
- Storage
- Use a manual defrost freezer and avoid repeated freeze-thaw cycles. 12 months from date of receipt, -20 to -70 °C as supplied. 1 month, 2 to 8 °C under sterile conditions after reconstitution. 6 months, -20 to -70 °C under sterile conditions after reconstitution.
Submitted references Macrophage-derived IL-10 mediates mucosal repair by epithelial WISP-1 signaling.
Quiros M, Nishio H, Neumann PA, Siuda D, Brazil JC, Azcutia V, Hilgarth R, O'Leary MN, Garcia-Hernandez V, Leoni G, Feng M, Bernal G, Williams H, Dedhia PH, Gerner-Smidt C, Spence J, Parkos CA, Denning TL, Nusrat A
The Journal of clinical investigation 2017 Sep 1;127(9):3510-3520
The Journal of clinical investigation 2017 Sep 1;127(9):3510-3520
No comments: Submit comment
Supportive validation
- Submitted by
- R&D Systems (provider)
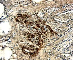
- Main image

- Experimental details
- WISP-1/CCN4 in Human Breast Cancer Tissue. WISP-1/CCN4 was detected in immersion fixed paraffin-embedded sections of human breast cancer tissue using 15 µg/mL Goat Anti-Human WISP-1/CCN4 Antigen Affinity-purified Polyclonal Antibody (Catalog # AF1627) overnight at 4 °C. Tissue was stained with the Anti-Goat HRP-DAB Cell & Tissue Staining Kit (brown; Catalog # CTS008) and counterstained with hematoxylin (blue). View our protocol for Chromogenic IHC Staining of Paraffin-embedded Tissue Sections.