Antibody data
- Antibody Data
- Antigen structure
- References [0]
- Comments [0]
- Validations
- Immunocytochemistry [1]
- Immunohistochemistry [5]
Submit
Validation data
Reference
Comment
Report error
- Product number
- PA5-66299 - Provider product page

- Provider
- Invitrogen Antibodies
- Product name
- GRHL3 Polyclonal Antibody
- Antibody type
- Polyclonal
- Antigen
- Recombinant protein fragment
- Description
- Immunogen sequence: VNGDDDSVAAL SFLYDYYMGP KEKRILSSST GGRNDQGKRY YHGMEYETDL TPLESPTHLM KFLTENVSGT PEYPDLLKKN NLMSL Highest antigen sequence identity to the following orthologs - mouse 84%, rat 86%.
- Reactivity
- Human
- Host
- Rabbit
- Isotype
- IgG
- Vial size
- 100 μL
- Concentration
- 0.10 mg/mL
- Storage
- Store at 4°C short term. For long term storage, store at -20°C, avoiding freeze/thaw cycles.
No comments: Submit comment
Supportive validation
- Submitted by
- Invitrogen Antibodies (provider)
- Main image

- Experimental details
- Immunofluorescent staining of GRHL3 in human cell line MCF7 shows localization to nucleoplasm. Samples were probed using a GRHL3 Polyclonal Antibody (Product # PA5-66299).
Supportive validation
- Submitted by
- Invitrogen Antibodies (provider)
- Main image

- Experimental details
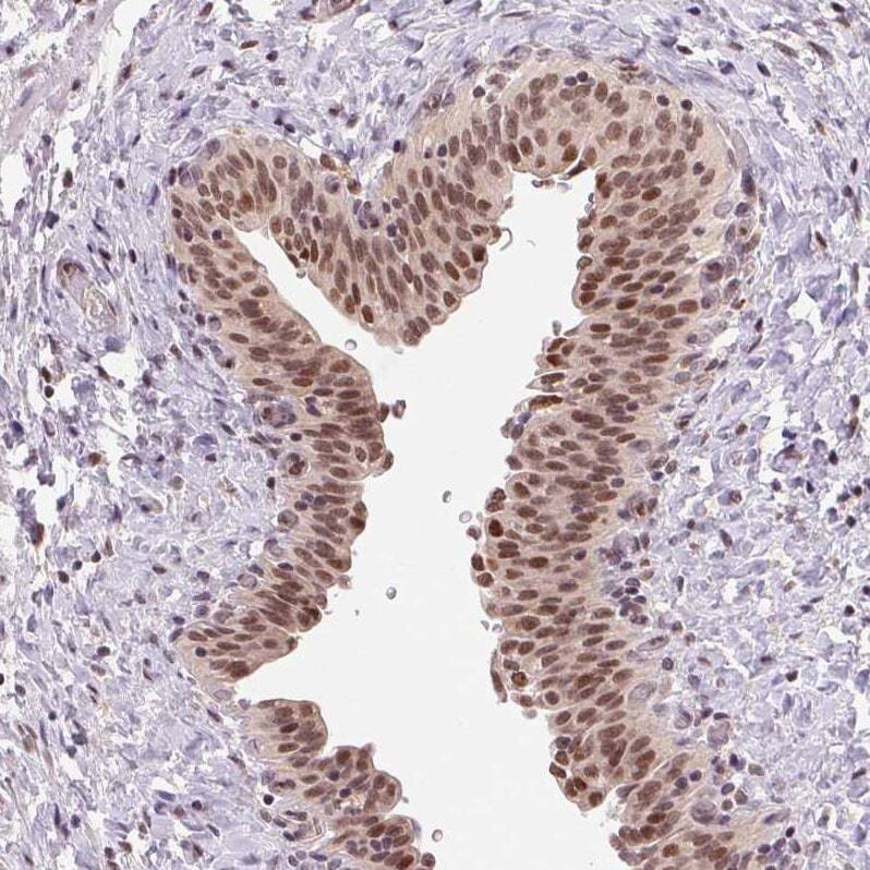
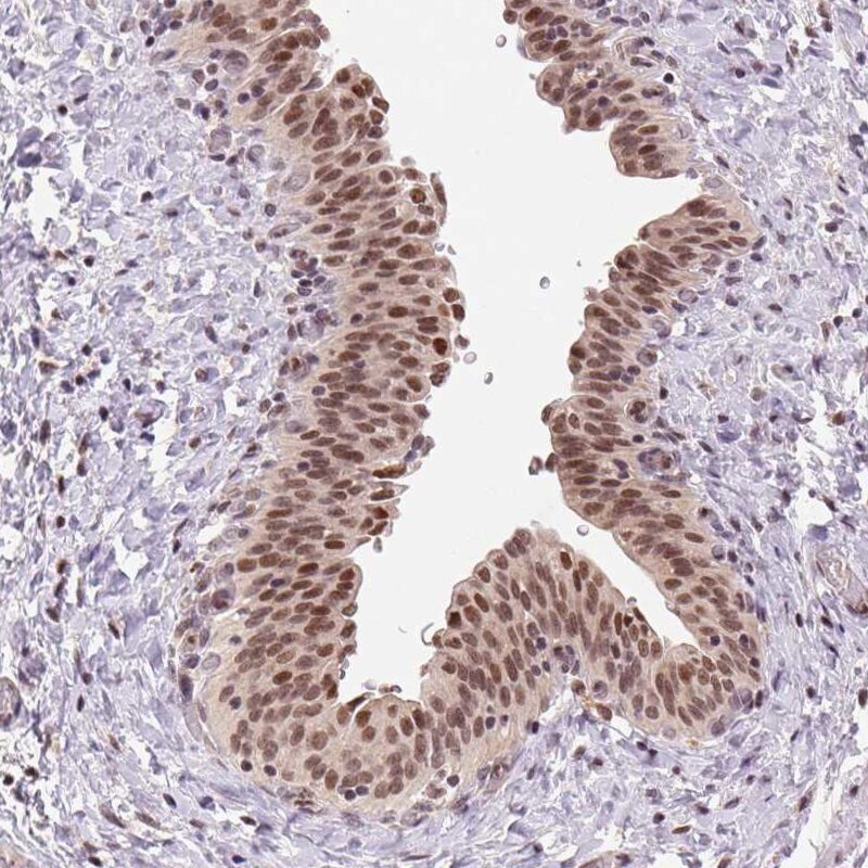
- Immunohistochemical analysis of GRHL3 in human urinary bladder using GRHL3 Polyclonal Antibody (Product # PA5-66299) shows strong nuclear positivity in squamous epithelial cells.
- Submitted by
- Invitrogen Antibodies (provider)
- Main image

- Experimental details
- Immunohistochemical staining of GRHL3 in human urinary bladder and skeletal muscle tissues using GRHL3 Polyclonal Antibody (Product # PA5-66299). Corresponding GRHL3 RNA-seq data are presented for the same tissues.
- Submitted by
- Invitrogen Antibodies (provider)
- Main image

- Experimental details
- Immunohistochemical staining of GRHL3 in human urinary bladder using GRHL3 Polyclonal Antibody (Product # PA5-66299) shows high expression.
- Submitted by
- Invitrogen Antibodies (provider)
- Main image

- Experimental details
- Immunohistochemical analysis of GRHL3 in human skeletal muscle using GRHL3 Polyclonal Antibody (Product # PA5-66299) shows no positivity in myocytes as expected.
- Submitted by
- Invitrogen Antibodies (provider)
- Main image

- Experimental details
- Immunohistochemical staining of GRHL3 in human skeletal muscle using GRHL3 Polyclonal Antibody (Product # PA5-66299) shows low expression as expected.