Antibody data
- Antibody Data
- Antigen structure
- References [0]
- Comments [0]
- Validations
- Western blot [2]
- Immunocytochemistry [1]
- Immunohistochemistry [2]
- Flow cytometry [1]
Submit
Validation data
Reference
Comment
Report error
- Product number
- TA501137 - Provider product page

- Provider
- OriGene
- Proper citation
- OriGene Cat#TA501137, RRID:AB_11124334
- Product name
- Anti-GPI (Glucose 6 phosphate isomerase) mouse monoclonal antibody, clone OTI5A11 (formerly 5A11)
- Antibody type
- Monoclonal
- Description
- Anti-GPI (Glucose 6 phosphate isomerase) mouse monoclonal antibody, clone OTI5A11 (formerly 5A11)
- Reactivity
- Canine
- Host
- Mouse
- Conjugate
- Unconjugated
- Epitope
- GPI
- Isotype
- IgG
- Antibody clone number
- OTI5A11
- Vial size
- 100 µl
- Concentration
- 0.72 mg/ml
No comments: Submit comment
Supportive validation
- Submitted by
- OriGene (provider)
- Main image

- Experimental details
- Western blot analysis of extracts (35ug) from 9 different cell lines by using anti-GPI monoclonal antibody.
- Validation comment
- WB
- Submitted by
- OriGene (provider)
- Main image

- Experimental details
- HEK293T cells were transfected with the pCMV6-ENTRY control (Left lane) or pCMV6-ENTRY GPI (RC201232, Right lane) cDNA for 48 hrs and lysed. Equivalent amounts of cell lysates (5 ug per lane) were separated by SDS-PAGE and immunoblotted with anti-GPI .
- Validation comment
- WB
Supportive validation
- Submitted by
- OriGene (provider)
- Main image

- Experimental details
- Anti-GPI mouse monoclonal antibody (TA501137) immunofluorescent staining of COS7 cells transiently transfected by pCMV6-ENTRY GPI (RC201232).
- Validation comment
- IF
Supportive validation
- Submitted by
- OriGene (provider)
- Main image

- Experimental details
- Immunohistochemical staining of paraffin-embedded Human liver tissue within the normal limits using anti-GPI mouse monoclonal antibody. (Heat-induced epitope retrieval by 10mM citric buffer, pH6.0, 100C for 10min, TA501137, Dilution 1:50)
- Validation comment
- IHC
- Submitted by
- OriGene (provider)
- Main image

- Experimental details
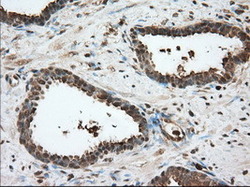
- Immunohistochemical staining of paraffin-embedded Carcinoma of Human prostate tissue using anti-GPI mouse monoclonal antibody. (Heat-induced epitope retrieval by 10mM citric buffer, pH6.0, 100C for 10min, TA501137, Dilution 1:50)
- Validation comment
- IHC
Supportive validation
- Submitted by
- OriGene (provider)
- Main image

- Experimental details
- Flow cytometric Analysis of Jurkat cells, using anti-GPI antibody(TA501137),(Red), compared to a nonspecific negative control antibody(TA50011),(Blue).
- Validation comment
- FC