Antibody data
- Antibody Data
- Antigen structure
- References [0]
- Comments [0]
- Validations
- Western blot [1]
- Immunohistochemistry [1]
Submit
Validation data
Reference
Comment
Report error
- Product number
- AP06516PU-N - Provider product page 
- Provider
- OriGene
- Product name
- Collagen I (COL1A2) rabbit polyclonal antibody, Aff - Purified
- Antibody type
- Polyclonal
- Description
- Collagen I (COL1A2) rabbit polyclonal antibody, Aff - Purified
- Host
- Rabbit
- Conjugate
- Unconjugated
- Epitope
- COL1A2
- Antibody clone number
- NULL
- Vial size
- 100 µg
- Concentration
- 1.0 mg/ml
				No comments: Submit comment	
	
			
							
					Supportive validation
					
									
				
				- Submitted by
- OriGene (provider)
- Main image
 
- Experimental details
- Western blot (WB) analysis of COL1A2 antibody at 1/500 dilution Lane1:Hela cell lysate Lane2:Mouse liver tissue lysate Lane3:Mouse lung tissue lysate Lane4:Rat liver tissue lysate
- Validation comment
- WB
							
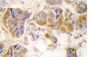
					Supportive validation
					
									
				
		- Submitted by
- OriGene (provider)
- Main image
 
- Experimental details
- Immunohistochemistry analysis of Collagen I Antibody (?)??in paraffin-embedded human breast carcinoma tissue.
- Validation comment
- IHC