Antibody data
- Antibody Data
- Antigen structure
- References [0]
- Comments [0]
- Validations
- Immunohistochemistry [1]
Submit
Validation data
Reference
Comment
Report error
- Product number
- LS-C286990 - Provider product page

- Provider
- LSBio
- Product name
- RNF41 Antibody (C-Terminus) LS-C286990
- Antibody type
- Polyclonal
- Description
- Immunoaffinity purified
- Reactivity
- Human, Mouse, Rat, Bovine, Canine, Guinea Pig, Horse, Porcine, Rabbit
- Host
- Rabbit
- Isotype
- IgG
- Storage
- Store at 2°C to 8°C for up to 1 year.
No comments: Submit comment
Supportive validation
- Submitted by
- LSBio (provider)
- Main image

- Experimental details
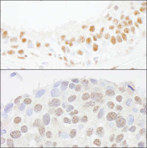
- Detection of Human FLRF/RNF41 by Immunohistochemistry. Sample: FFPE section of human breast duct (upper image) and breast carcinoma (lower image). Antibody: Affinity purified rabbit anti-FLRF/RNF41 used at a dilution of 1:1000 (1 Detection: DAB.