Antibody data
- Antibody Data
- Antigen structure
- References [0]
- Comments [0]
- Validations
- Western blot [1]
- Immunocytochemistry [1]
- Immunohistochemistry [2]
Submit
Validation data
Reference
Comment
Report error
- Product number
- 67418-1-IG - Provider product page

- Provider
- Invitrogen Antibodies
- Product name
- CDCA5 Monoclonal Antibody (2G1D2)
- Antibody type
- Monoclonal
- Antigen
- Other
- Reactivity
- Human, Mouse, Rat
- Host
- Mouse
- Isotype
- IgG
- Antibody clone number
- 2G1D2
- Vial size
- 150 µL
- Concentration
- 1000 µg/mL
- Storage
- -20°C
No comments: Submit comment
Supportive validation
- Submitted by
- Invitrogen Antibodies (provider)
- Main image

- Experimental details
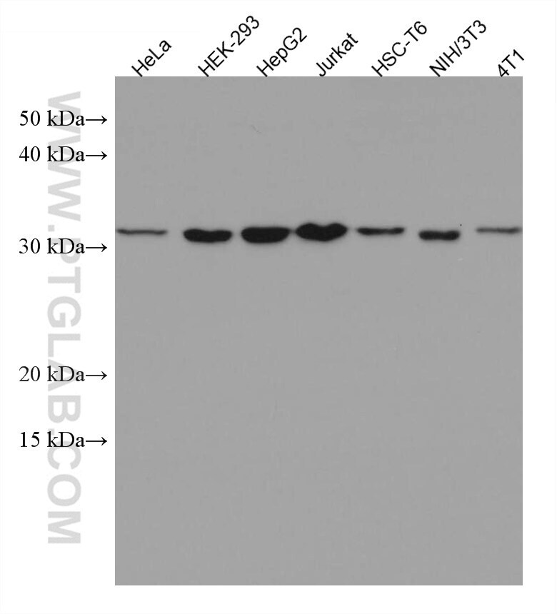
- Various lysates were subjected to SDS PAGE followed by western blot with 67418-1-Ig (CDCA5 antibody) at dilution of 1:3000 incubated at room temperature for 1.5 hours.
Supportive validation
- Submitted by
- Invitrogen Antibodies (provider)
- Main image

- Experimental details
- Immunofluorescent analysis of (4% PFA) fixed HeLa cells using CDCA5 antibody (67418-1-Ig, Clone: 2G1D2 ) at dilution of 1:400 and CoraLite®488-Conjugated AffiniPure Goat Anti-Mouse IgG(H+L).
Supportive validation
- Submitted by
- Invitrogen Antibodies (provider)
- Main image

- Experimental details
- Immunohistochemical analysis of paraffin-embedded human lung cancer tissue slide using 67418-1-Ig (CDCA5 antibody) at dilution of 1:300 (under 10x lens). Heat mediated antigen retrieval with Tris-EDTA buffer (pH 9.0).
- Submitted by
- Invitrogen Antibodies (provider)
- Main image

- Experimental details
- Immunohistochemical analysis of paraffin-embedded human lung cancer tissue slide using 67418-1-Ig (CDCA5 antibody) at dilution of 1:300 (under 40x lens). Heat mediated antigen retrieval with Tris-EDTA buffer (pH 9.0).