Antibody data
- Antibody Data
- Antigen structure
- References [0]
- Comments [0]
- Validations
- Western blot [1]
- Immunocytochemistry [1]
- Immunohistochemistry [2]
Submit
Validation data
Reference
Comment
Report error
- Product number
- GTX55489 - Provider product page

- Provider
- GeneTex
- Product name
- ACADS antibody
- Antibody type
- Polyclonal
- Reactivity
- Human, Mouse, Rat
- Host
- Rabbit
No comments: Submit comment
Supportive validation
- Submitted by
- GeneTex (provider)
- Main image

- Experimental details
- Western blot analysis of extracts of various cells, using ACADS antibody.
Supportive validation
- Submitted by
- GeneTex (provider)
- Main image

- Experimental details
- Immunofluorescence analysis of U20S cell using ACADS antibody. Blue: DAPI for nuclear staining.
Supportive validation
- Submitted by
- GeneTex (provider)
- Main image

- Experimental details
- Immunohistochemistry of paraffin-embedded human liver cancer using ACADS antibody at dilution of 1:100 (x40 lens).
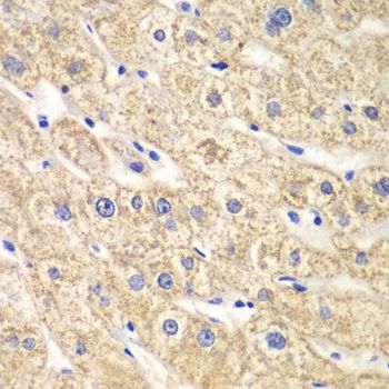
- Submitted by
- GeneTex (provider)
- Main image

- Experimental details
- Immunohistochemistry of paraffin-embedded human liver injury using ACADS antibody at dilution of 1:100 (x40 lens).