Antibody data
- Antibody Data
- Antigen structure
- References [0]
- Comments [0]
- Validations
- Western blot [2]
- Immunohistochemistry [3]
Submit
Validation data
Reference
Comment
Report error
- Product number
- NBP2-20584 - Provider product page

- Provider
- Novus Biologicals
- Product name
- Rabbit Polyclonal TCERG1 Antibody
- Antibody type
- Polyclonal
- Description
- Immunogen affinity purified.
- Reactivity
- Human, Mouse, Rat
- Host
- Rabbit
- Isotype
- IgG
- Vial size
- 0.1 ml
- Storage
- Aliquot and store at -20C or -80C. Avoid freeze-thaw cycles.
No comments: Submit comment
Supportive validation
- Submitted by
- Novus Biologicals (provider)
- Main image

- Experimental details
- Western Blot: TCERG1 Antibody [NBP2-20584] - U87-MG whole cell and nuclear extracts (30 ug) were separated by 5% SDS-PAGE, and the membrane was blotted with CA150 antibody diluted at 1:500.
- Submitted by
- Novus Biologicals (provider)
- Main image

- Experimental details
- Western Blot: TCERG1 Antibody [NBP2-20584] - HeLa whole cell and nuclear extracts (30 ug) were separated by 5% SDS-PAGE, and the membrane was blotted with CA150 antibody diluted at 1:500.
Supportive validation
- Submitted by
- Novus Biologicals (provider)
- Main image

- Experimental details
- Immunohistochemistry-Paraffin: TCERG1 Antibody [NBP2-20584] - Human colon, using CA150 antibody at 1:250 dilution. Antigen Retrieval: Citrate buffer, pH 6.0, 15 min.
- Submitted by
- Novus Biologicals (provider)
- Main image

- Experimental details
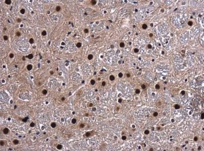
- Immunohistochemistry-Paraffin: TCERG1 Antibody [NBP2-20584] - Mouse brain. CA150 antibody diluted at 1:500. Antigen Retrieval: Citrate buffer, pH 6.0, 15 min.
- Submitted by
- Novus Biologicals (provider)
- Main image

- Experimental details
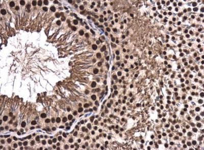
- Immunohistochemistry-Paraffin: TCERG1 Antibody [NBP2-20584] - Rat testis. CA150 antibody duted at 1:500. Antigen Retrieval: Citrate buffer, pH 6.0, 15 min.