Antibody data
- Antibody Data
- Antigen structure
- References [0]
- Comments [0]
- Validations
- Western blot [1]
Submit
Validation data
Reference
Comment
Report error
- Product number
- AM06561SU-N - Provider product page

- Provider
- Acris Antibodies GmbH
- Proper citation
- Acris Antibodies GmbH Cat#AM06561SU-N, RRID:AB_11214761
- Product name
- anti CTCF
- Antibody type
- Monoclonal
- Antigen
- Purified recombinant fragment of Human CTCF expressed in E. Coli.
- Reactivity
- Human, Simian
- Host
- Mouse
- Isotype
- IgG
- Antibody clone number
- 1D11
- Vial size
- 0.1 ml
No comments: Submit comment
Supportive validation
- Submitted by
- Acris Antibodies GmbH (provider)
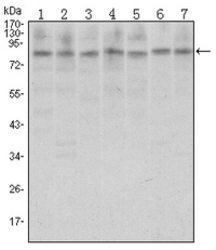
- Main image

- Experimental details
- Western blot analysis using CTCF antibody Cat.-No AM06561SU-N against A31 (1), MCF-7 (2), Hela (3), HCT116 (4), Jurkat (5), NIH/3T3 (6), and Cos7 (7) cell lysate.