Antibody data
- Antibody Data
- Antigen structure
- References [9]
- Comments [0]
- Validations
- Western blot [1]
- Immunoprecipitation [1]
- Immunohistochemistry [2]
Submit
Validation data
Reference
Comment
Report error
- Product number
- 14421-1-AP - Provider product page

- Provider
- Proteintech Group
- Proper citation
- Proteintech Cat#14421-1-AP, RRID:AB_2201962
- Product name
- TIMELESS antibody
- Antibody type
- Polyclonal
- Description
- TIMELESS antibody (Cat. #14421-1-AP) is a rabbit polyclonal antibody that shows reactivity with human, mouse and has been validated for the following applications: IHC, WB,ELISA.
- Reactivity
- Human, Mouse
- Host
- Rabbit
- Conjugate
- Unconjugated
- Isotype
- IgG
- Vial size
- 20ul, 150ul
Submitted references Mechanism for local attenuation of DNA replication at double-strand breaks.
TIMELESS as a prognostic biomarker and therapeutic target in gastric cancer.
Cancer-associated snaR-A noncoding RNA interacts with core splicing machinery and disrupts processing of mRNA subpopulations.
TIMELESS promotes reprogramming of glucose metabolism in oral squamous cell carcinoma.
HMGB1-mediated transcriptional activation of circadian gene TIMELESS contributes to endometrial cancer progression through Wnt-β-catenin pathway.
Exosomal-miR-129-2-3p derived from Fusobacterium nucleatum-infected intestinal epithelial cells promotes experimental colitis through regulating TIMELESS-mediated cellular senescence pathway.
MEX3A promotes the malignant progression of ovarian cancer by regulating intron retention in TIMELESS.
Circadian clock genes promote glioma progression by affecting tumour immune infiltration and tumour cell proliferation.
TIMELESS confers cisplatin resistance in nasopharyngeal carcinoma by activating the Wnt/β-catenin signaling pathway and promoting the epithelial mesenchymal transition.
Sebastian R, Sun EG, Fedkenheuer M, Fu H, Jung S, Thakur BL, Redon CE, Pegoraro G, Tran AD, Gross JM, Mosavarpour S, Kusi NA, Ray A, Dhall A, Pongor LS, Casellas R, Aladjem MI
Nature 2025 Mar;639(8056):1084-1092
Nature 2025 Mar;639(8056):1084-1092
TIMELESS as a prognostic biomarker and therapeutic target in gastric cancer.
Meng X, Sun Q, Liu Z, Cao S, Xu C, Di L, Wu Y, Zhang W
Journal, genetic engineering & biotechnology 2025 Jun;23(2):100504
Journal, genetic engineering & biotechnology 2025 Jun;23(2):100504
Cancer-associated snaR-A noncoding RNA interacts with core splicing machinery and disrupts processing of mRNA subpopulations.
Zhou S, Lizarazo S, Mouli L, Chorghade S, Cheng R, Rajendra KC, Kalsotra A, Van Bortle K
bioRxiv : the preprint server for biology 2024 Jul 3;
bioRxiv : the preprint server for biology 2024 Jul 3;
TIMELESS promotes reprogramming of glucose metabolism in oral squamous cell carcinoma.
Chen Y, Han Z, Zhang L, Gao C, Wei J, Yang X, Han Y, Li Y, Zhang C, Wei Y, Dong J, Xun W, Sun W, Zhang T, Zhang H, Chen J, Yuan P
Journal of translational medicine 2024 Jan 4;22(1):21
Journal of translational medicine 2024 Jan 4;22(1):21
HMGB1-mediated transcriptional activation of circadian gene TIMELESS contributes to endometrial cancer progression through Wnt-β-catenin pathway.
Wang Z, He S, Xin L, Zhou Y, Zhao L, Wang F
Cellular signalling 2024 Apr;116:111045
Cellular signalling 2024 Apr;116:111045
Exosomal-miR-129-2-3p derived from Fusobacterium nucleatum-infected intestinal epithelial cells promotes experimental colitis through regulating TIMELESS-mediated cellular senescence pathway.
Wei S, Wu X, Chen M, Xiang Z, Li X, Zhang J, Dong W
Gut microbes 2023 Jan-Dec;15(1):2240035
Gut microbes 2023 Jan-Dec;15(1):2240035
MEX3A promotes the malignant progression of ovarian cancer by regulating intron retention in TIMELESS.
Li F, Zhao C, Diao Y, Wang Z, Peng J, Yang N, Qiu C, Kong B, Li Y
Cell death & disease 2022 Jun 17;13(6):553
Cell death & disease 2022 Jun 17;13(6):553
Circadian clock genes promote glioma progression by affecting tumour immune infiltration and tumour cell proliferation.
Wang Z, Su G, Dai Z, Meng M, Zhang H, Fan F, Liu Z, Zhang L, Weygant N, He F, Fang N, Zhang L, Cheng Q
Cell proliferation 2021 Mar;54(3):e12988
Cell proliferation 2021 Mar;54(3):e12988
TIMELESS confers cisplatin resistance in nasopharyngeal carcinoma by activating the Wnt/β-catenin signaling pathway and promoting the epithelial mesenchymal transition.
Liu SL, Lin HX, Lin CY, Sun XQ, Ye LP, Qiu F, Wen W, Hua X, Wu XQ, Li J, Song LB, Guo L
Cancer letters 2017 Aug 28;402:117-130
Cancer letters 2017 Aug 28;402:117-130
No comments: Submit comment
Supportive validation
- Submitted by
- Proteintech Group (provider)
- Main image

- Experimental details
- HeLa cells were subjected to SDS PAGE followed by western blot with 14421-1-AP(TIMELESS antibody) at dilution of 1:1000
- Sample type
- cell line
Supportive validation
- Submitted by
- Proteintech Group (provider)
- Main image

- Experimental details
- IP Result of anti-TIMELESS (IP:14421-1-AP, 3ug; Detection:14421-1-AP 1:1000) with mouse testis tissue lysate 10000ug.
- Sample type
- tissue
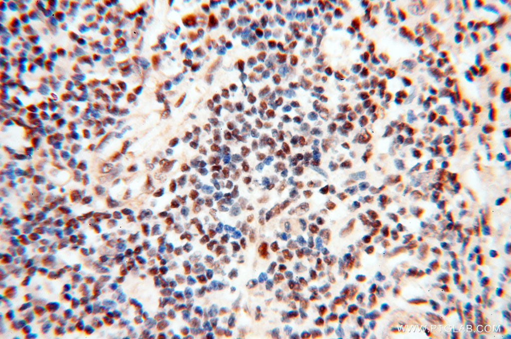
Supportive validation
- Submitted by
- Proteintech Group (provider)
- Main image

- Experimental details
- Immunohistochemical of paraffin-embedded human spleen using 14421-1-AP(TIMELESS antibody) at dilution of 1:50 (under 10x lens)
- Sample type
- tissue
- Submitted by
- Proteintech Group (provider)
- Main image

- Experimental details
- The TIMELESS antibody from Proteintech is a rabbit polyclonal antibody to a recombinant protein of human TIMELESS. This antibody recognizes human, mouse antigen. The TIMELESS antibody has been validated for the following applications: ELISA, WB, IHC, IP analysis.