Antibody data
- Antibody Data
- Antigen structure
- References [2]
- Comments [0]
- Validations
- Western blot [3]
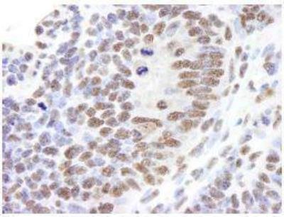
- Immunohistochemistry [3]
Submit
Validation data
Reference
Comment
Report error
- Product number
- ABIN251537 - Provider product page

- Provider
- antibodies-online
- Product name
- anti-Timeless Homolog (Drosophila) (TIMELESS) (C-Term) antibody
- Antibody type
- Polyclonal
- Description
- Immunogen affinity purified
- Reactivity
- Human
- Host
- Rabbit
- Epitope
- C-Term
- Vial size
- 0.1 mL
- Storage
- Store at 4°C. Do not freeze.
- Handling
- Do not freeze.
Submitted references Human Tim-Tipin complex affects the biochemical properties of the replicative DNA helicase and DNA polymerases.
The replisome pausing factor Timeless is required for episomal maintenance of latent Epstein-Barr virus.
Cho WH, Kang YH, An YY, Tappin I, Hurwitz J, Lee JK
Proceedings of the National Academy of Sciences of the United States of America 2013 Feb 12;110(7):2523-7
Proceedings of the National Academy of Sciences of the United States of America 2013 Feb 12;110(7):2523-7
The replisome pausing factor Timeless is required for episomal maintenance of latent Epstein-Barr virus.
Dheekollu J, Lieberman PM
Journal of virology 2011 Jun;85(12):5853-63
Journal of virology 2011 Jun;85(12):5853-63
No comments: Submit comment
Supportive validation
- Submitted by
- antibodies-online (provider)
- Main image

- Experimental details
- WB
- Submitted by
- antibodies-online (provider)
- Main image

- Experimental details
- WB
- Submitted by
- antibodies-online (provider)
- Main image

- Experimental details
- WB
Supportive validation
- Submitted by
- antibodies-online (provider)
- Main image

- Experimental details
- IHC
- Submitted by
- antibodies-online (provider)
- Main image

- Experimental details
- IHC
- Submitted by
- antibodies-online (provider)
- Main image

- Experimental details
- IHC