Antibody data
- Antibody Data
- Antigen structure
- References [0]
- Comments [0]
- Validations
- Western blot [2]
- Immunohistochemistry [5]
Submit
Validation data
Reference
Comment
Report error
- Product number
- STJ13100411 - Provider product page

- Provider
- St John's Laboratory
- Product name
- Anti-TRPC3 antibody (STJ13100411)
- Antibody type
- Polyclonal
- Description
- Nz White Rabbit polyclonal antibody anti-TRPC3 is suitable for use in Immunohistochemistry and Western Blot research applications.
- Reactivity
- Human, Mouse, Rat
- Conjugate
- Unconjugated
- Antigen sequence
NA- Epitope
- NA
- Isotype
- IgG
- Antibody clone number
- NA
- Vial size
- NA
- Concentration
- NA
- Storage
- Maintain the lyophilised/reconstituted antibodies frozen at-20°C for long term storage and refrigerated at 2-8°C for a shorter term. When reconstituting, glycerol (1:1) may be added for an additional stability. Avoid freeze and thaw cycles.
- Handling
- NA
No comments: Submit comment
Supportive validation
Supportive validation
- Submitted by
- St John's Laboratory (provider)
- Main image

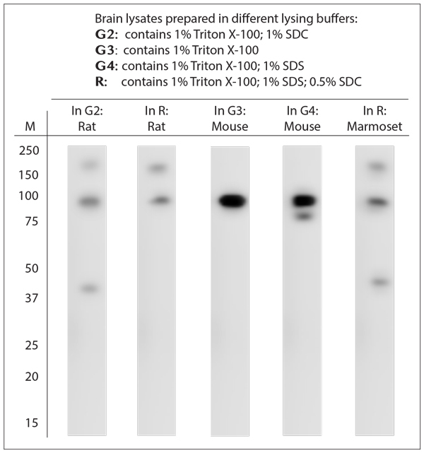
- Experimental details
- WB on tissue lysates. Note the profound effect of composition of the lysing buffer on WB. Blocking: 1% LFDM for 30 min at RT; primary antibody dilution 1: 1000 incubated at 4C overnight.
- Sample type
- NA
- Validation comment
- NA
- Primary Ab dilution
- NA
- Other comments
- NA
- Secondary Ab
- NA
- Secondary Ab dilution
- NA
- Protocol
- NA
Supportive validation
- Submitted by
- St John's Laboratory (provider)
- Main image

- Experimental details
- WB on mouse tissue lysates. Blocking: 1% LFDM for 30 min at RT; primary antibody dilution 1: 1000 incubated at 4C overnight.
- Sample type
- NA
- Validation comment
- NA
- Primary Ab dilution
- NA
- Other comments
- NA
- Secondary Ab
- NA
- Secondary Ab dilution
- NA
- Protocol
- NA
Supportive validation
Supportive validation
Supportive validation
Supportive validation
Supportive validation
- Submitted by
- St John's Laboratory (provider)
- Main image

- Experimental details
- IF on frozen sections of mouse brain. Primary antibody dilution 1: 50
- Sample type
- NA
- Validation comment
- NA
- Primary Ab dilution
- NA
- Other comments
- NA
- Secondary Ab
- NA
- Secondary Ab dilution
- NA
- Protocol
- NA
Supportive validation
- Submitted by
- St John's Laboratory (provider)
- Main image

- Experimental details
- IF on frozen sections of mouse brain. Primary antibody dilution 1: 500.
- Sample type
- NA
- Validation comment
- NA
- Primary Ab dilution
- NA
- Other comments
- NA
- Secondary Ab
- NA
- Secondary Ab dilution
- NA
- Protocol
- NA
Supportive validation
- Submitted by
- St John's Laboratory (provider)
- Main image

- Experimental details
- IF on frozen sections of mouse brain. Primary antibody dilution 1: 50
- Sample type
- NA
- Validation comment
- NA
- Primary Ab dilution
- NA
- Other comments
- NA
- Secondary Ab
- NA
- Secondary Ab dilution
- NA
- Protocol
- NA
Supportive validation
- Submitted by
- St John's Laboratory (provider)
- Main image

- Experimental details
- IF on frozen sections of mouse brain. Primary antibody dilution 1: 50
- Sample type
- NA
- Validation comment
- NA
- Primary Ab dilution
- NA
- Other comments
- NA
- Secondary Ab
- NA
- Secondary Ab dilution
- NA
- Protocol
- NA
Supportive validation
- Submitted by
- St John's Laboratory (provider)
- Main image

- Experimental details
- IF on frozen sections of mouse brain. Primary antibody dilution 1: 50
- Sample type
- NA
- Validation comment
- NA
- Primary Ab dilution
- NA
- Other comments
- NA
- Secondary Ab
- NA
- Secondary Ab dilution
- NA
- Protocol
- NA